Клинические случаи
Детская ортодонтия Ортодонтия Врач: Говорова Лада Врач: Абрамян Седа

Исправление прикуса брекетами

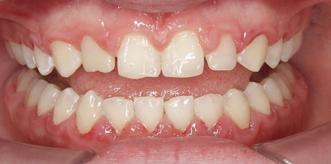
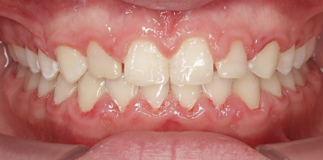
Пациент обратился с травмой передних резцов и нарушением прикуса.

Причина проблемы:

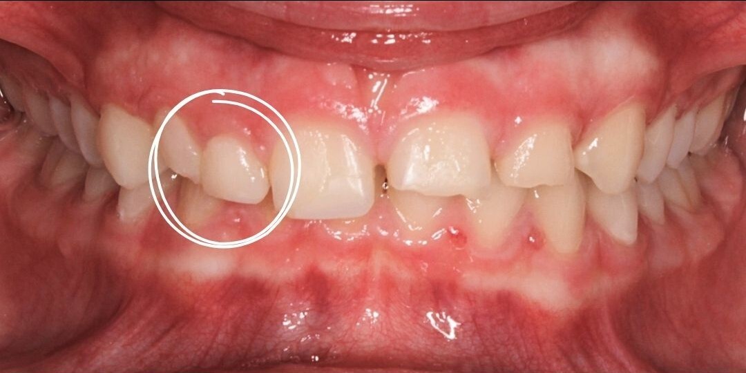
Молочный боковой зуб вовремя не выпал, из-за чего постоянный зуб прорезался рядом с ним. Это привело к смещению всех боковых зубов на этой стороне челюсти.

Этапы лечения:

  • Реставрация передних резцов
  • Удаление молочного зуба
  • Установка брекет-системы
  • Ортодонтическое лечение (18 месяцев)
  • Финальная эстетическая коррекция верхних резцов

Наши специалисты:

  • Ортодонт — Говорова Лада Александровна
  • Стоматолог-терапевт — Абрамян Седа Араевна
До лечения
Причина нарушения прикуса - не выпал молочный боковой зуб.
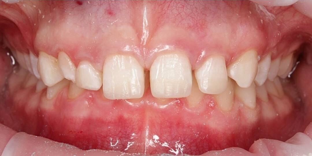
Восстановили передние резцы и удалили молочный зуб перед установкой брекетов.
Установка брекет-системы.
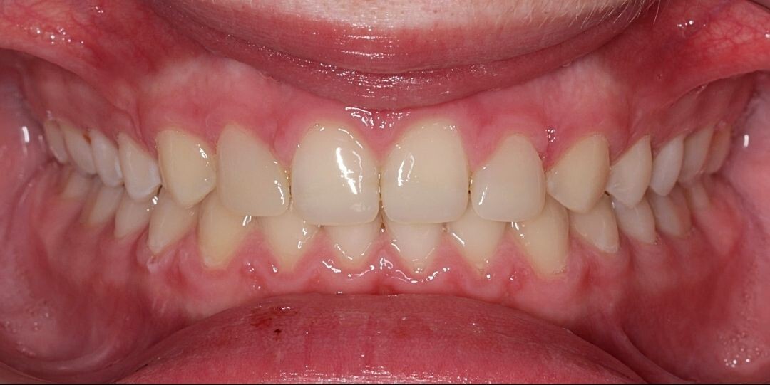
Завершение ортодонтического лечения спустя 18 месяцев.
После снятия остались промежутки между зубами.
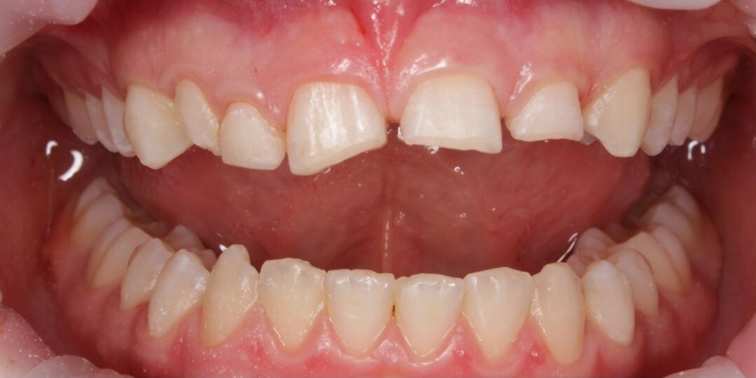
Выполнили эстетическую коррекцию верхних резцов.