Клинические случаи
2025-05-26 22:46
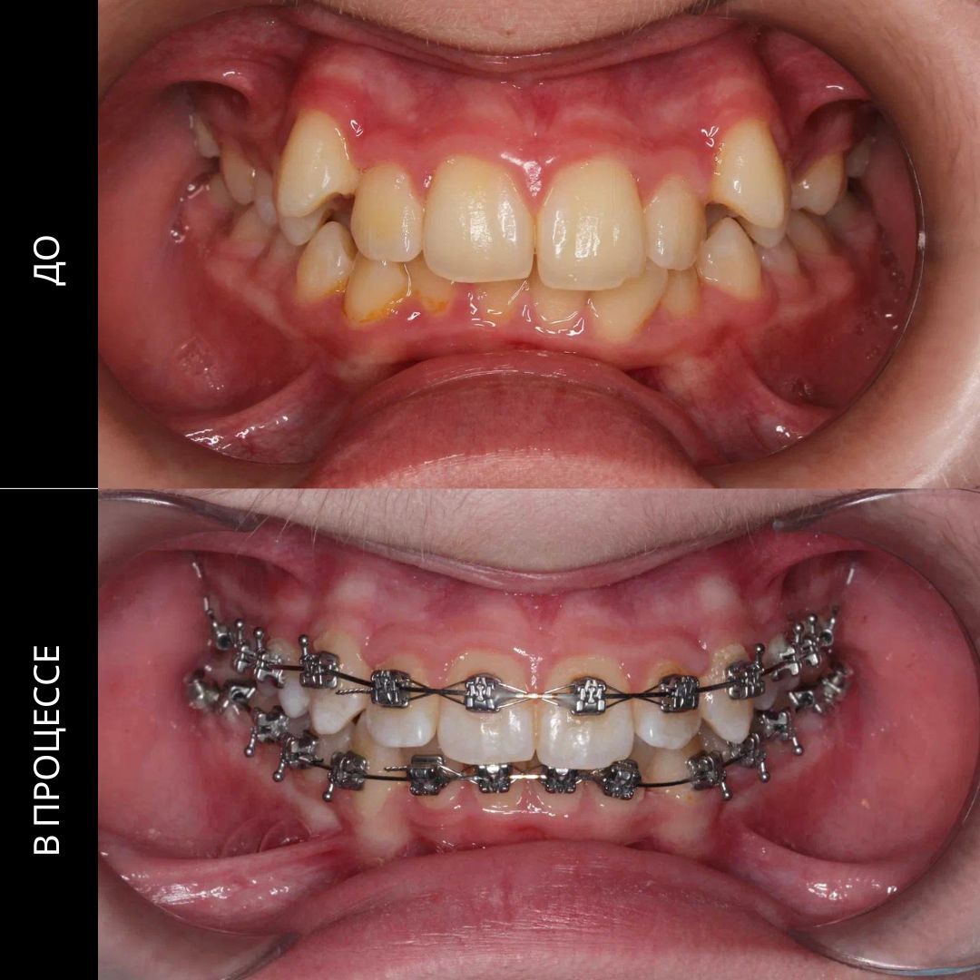
Ортодонтия
Врач: Григорян Сюзанна
Динамика лечения прикуса