Преображение улыбки за год!
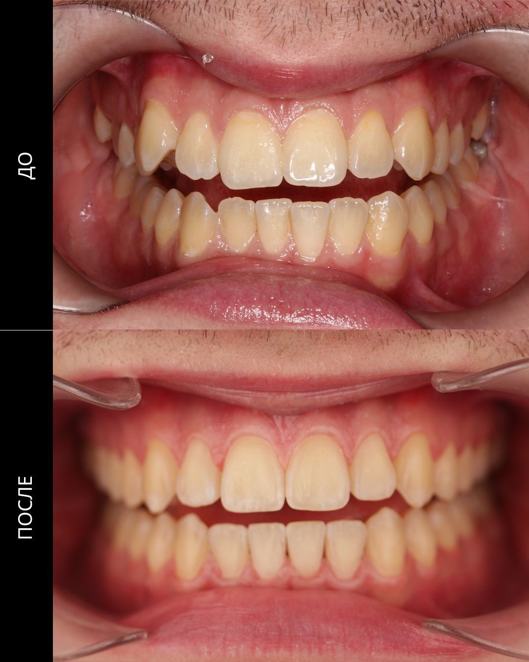
Случай из практики: коррекция прикуса брекет-системой
Что беспокоило пациента: Неровное положение зубов, которое влияло на эстетику улыбки и уверенность в себе.
Решение: Комплексное ортодонтическое лечение на брекет-системе
Результат за 12 месяцев:
Посмотрите на фото «до/после» — результат говорит сам за себя!
Вас беспокоит неровное положение зубов? Запишитесь на консультацию — вместе мы создадим улыбку вашей мечты!
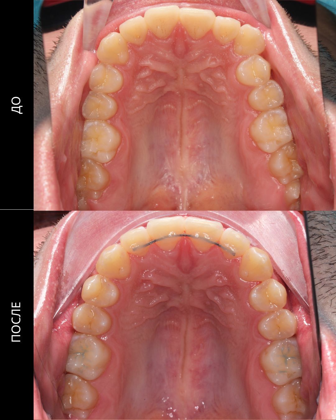
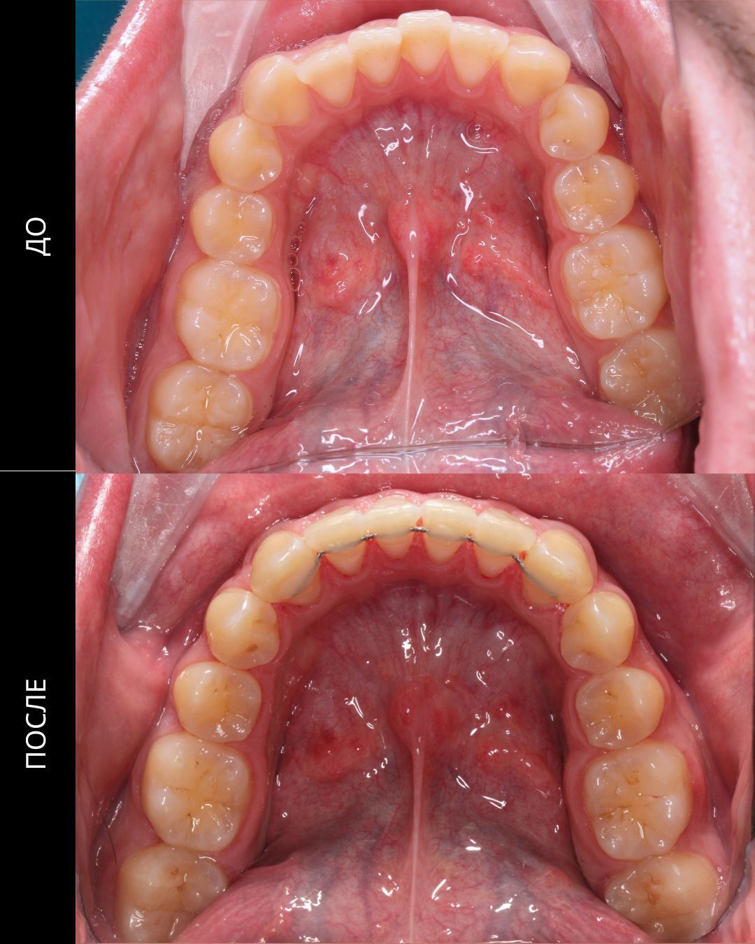
Случай из практики: коррекция прикуса брекет-системой
Что беспокоило пациента: Неровное положение зубов, которое влияло на эстетику улыбки и уверенность в себе.
Решение: Комплексное ортодонтическое лечение на брекет-системе
Результат за 12 месяцев:
- Ровные зубные ряды
- Гармоничная улыбка
- Правильная окклюзия
- Улучшение эстетики лица
Посмотрите на фото «до/после» — результат говорит сам за себя!
Вас беспокоит неровное положение зубов? Запишитесь на консультацию — вместе мы создадим улыбку вашей мечты!