Клинические случаи
2025-05-27 18:31
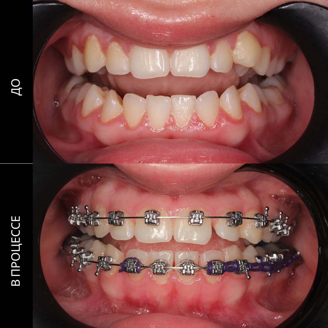
Ортодонтия
Врач: Григорян Сюзанна
Динамика лечения на брекетах