Клинические случаи
2025-05-29 21:23
Детская ортодонтия
Врач: Григорян Сюзанна
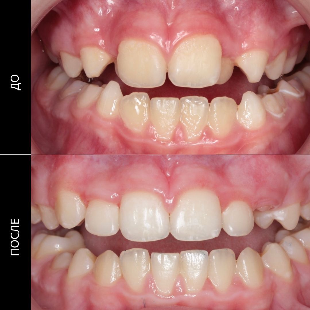
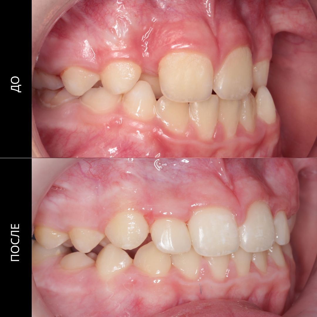
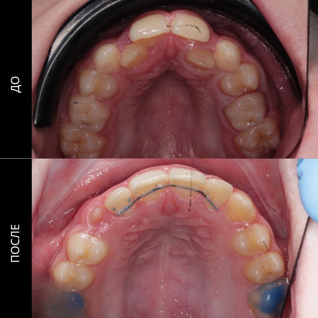
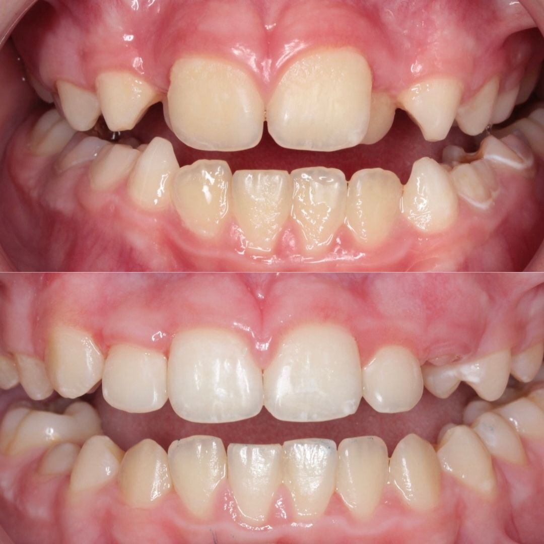
Исправление детского прикуса
Было проведено ортодонтическое лечение с помощью аппарата Хаас для быстрого небного расширения + подключение детской брекет-системы для улучшения положения зубов.