Клинические случаи
2025-05-27 19:14
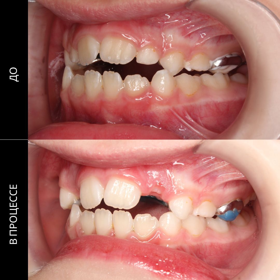
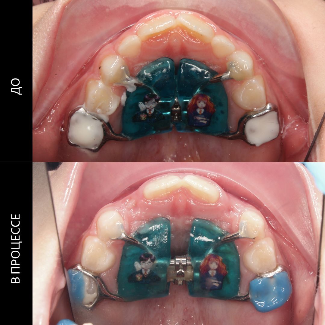
Детская ортодонтия
Врач: Григорян Сюзанна
Динамика лечения прикуса аппаратом Хаас