Комплексный подход — залог успешного лечения!
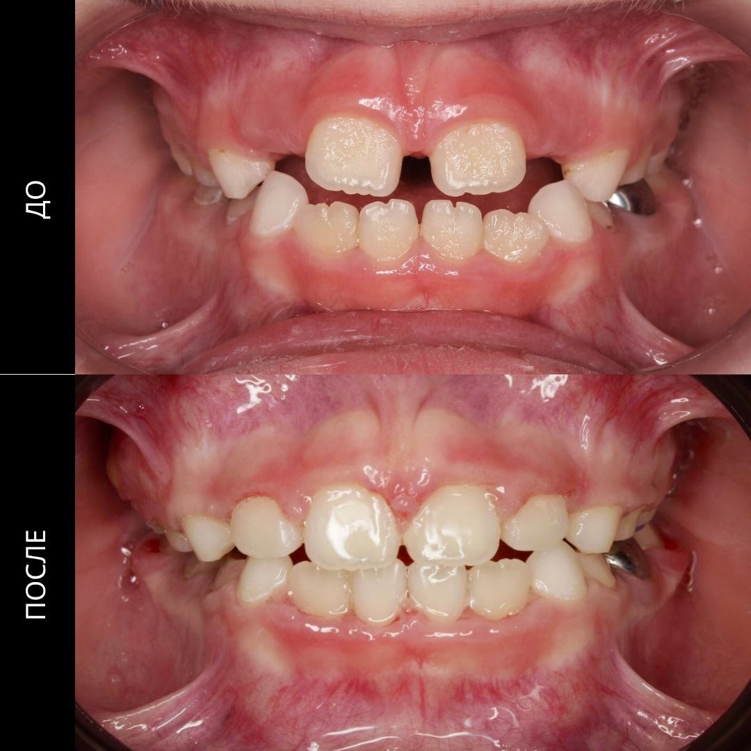
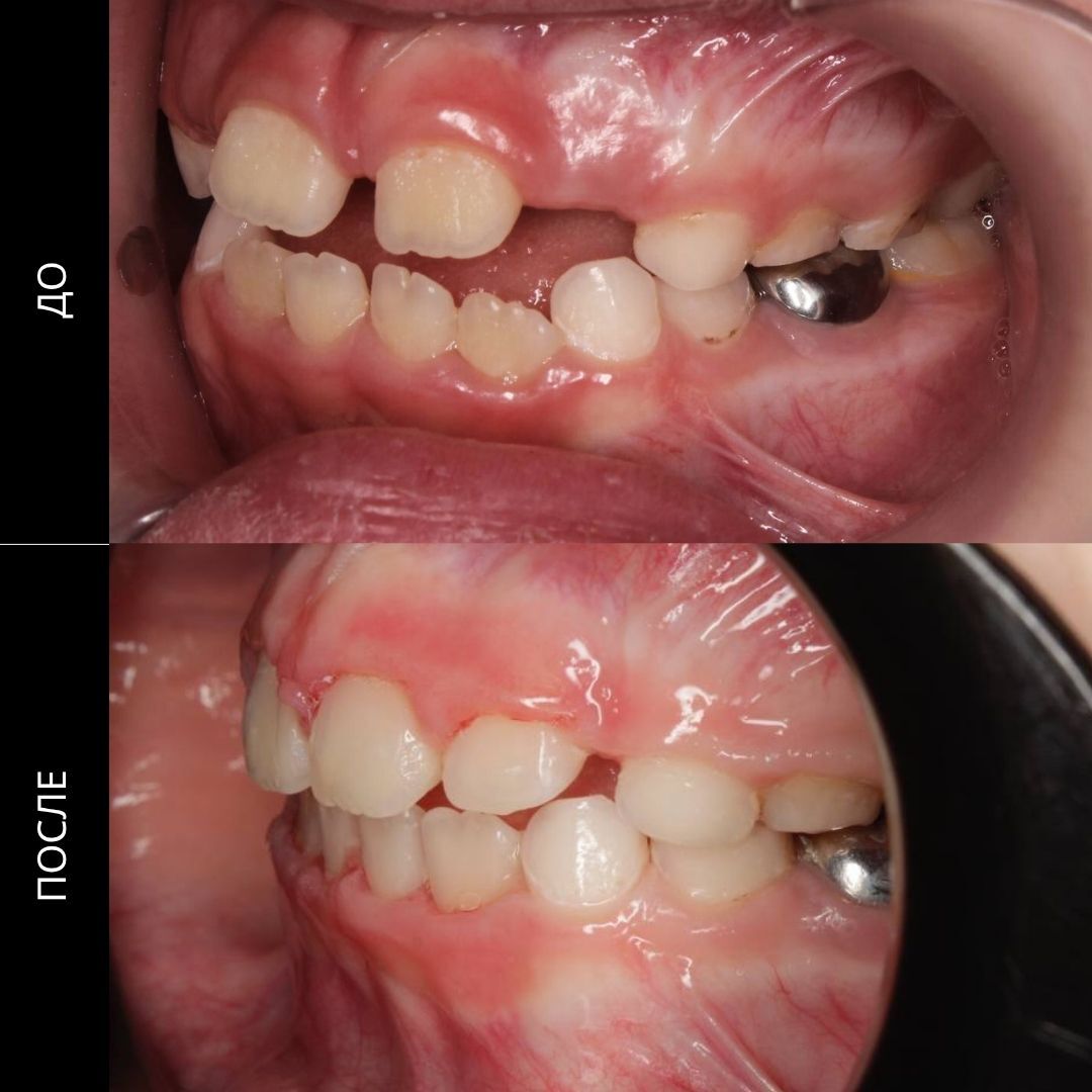
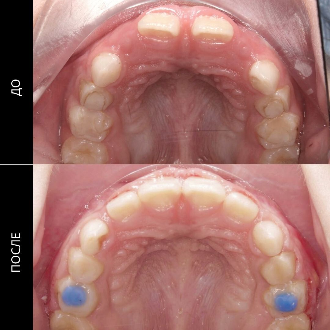
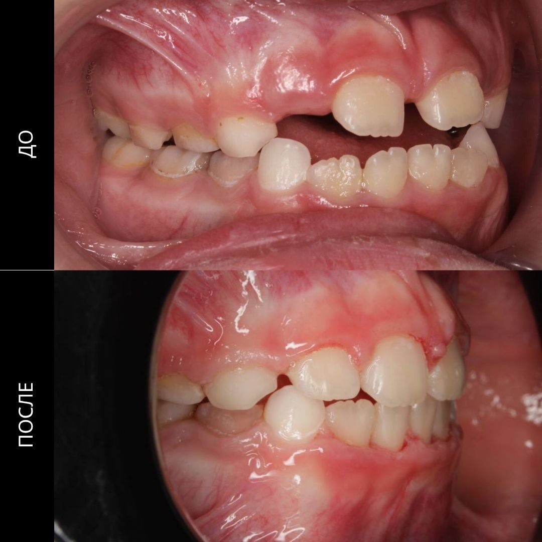
Проблема при обращении:
- Открытый прикус (зубы не смыкались спереди)
- Привычка дышать ртом
- Прокладывание языка между зубами
- Сужение верхней челюсти на фоне аденоидов
Наш комплексный план лечения:
1 Этап: Расширение верхней челюсти на несъёмном аппарате ХААС
2 Этап: Работа с миофункциональным терапевтом
- Тренировка круговой мышцы рта
- Устранение привычки дышать ртом
- Коррекция положения языка
3 Этап: Детская брекет-система 2×4 для закрытия прикуса
Благодаря слаженной работе ЛОРа, миофункционального терапевта и ортодонта мы достигли прекрасного результата!
В ОртоПоинт мы понимаем: эффективное лечение детей — это всегда командная работа специалистов разного профиля.
Запишитесь на консультацию, и мы разработаем индивидуальный план лечения для вашего ребёнка!
Проблема при обращении:
- Открытый прикус (зубы не смыкались спереди)
- Привычка дышать ртом
- Прокладывание языка между зубами
- Сужение верхней челюсти на фоне аденоидов
Наш комплексный план лечения:
1 Этап: Расширение верхней челюсти на несъёмном аппарате ХААС
2 Этап: Работа с миофункциональным терапевтом
- Тренировка круговой мышцы рта
- Устранение привычки дышать ртом
- Коррекция положения языка
3 Этап: Детская брекет-система 2×4 для закрытия прикуса
Благодаря слаженной работе ЛОРа, миофункционального терапевта и ортодонта мы достигли прекрасного результата!
В ОртоПоинт мы понимаем: эффективное лечение детей — это всегда командная работа специалистов разного профиля.
Запишитесь на консультацию, и мы разработаем индивидуальный план лечения для вашего ребёнка!