Клинические случаи
2025-06-03 20:16
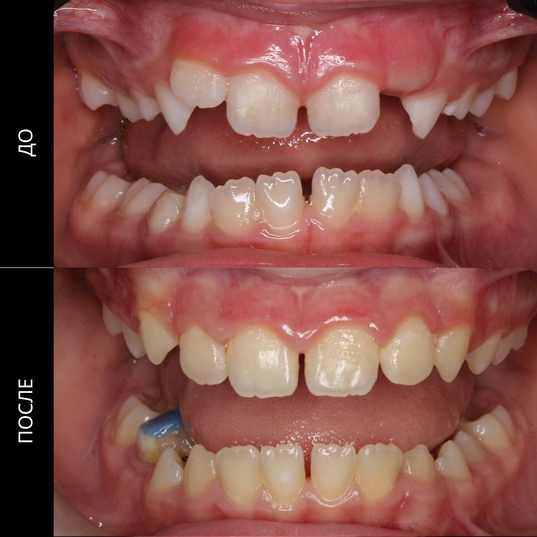
Детская ортодонтия
Врач: Говорова Лада
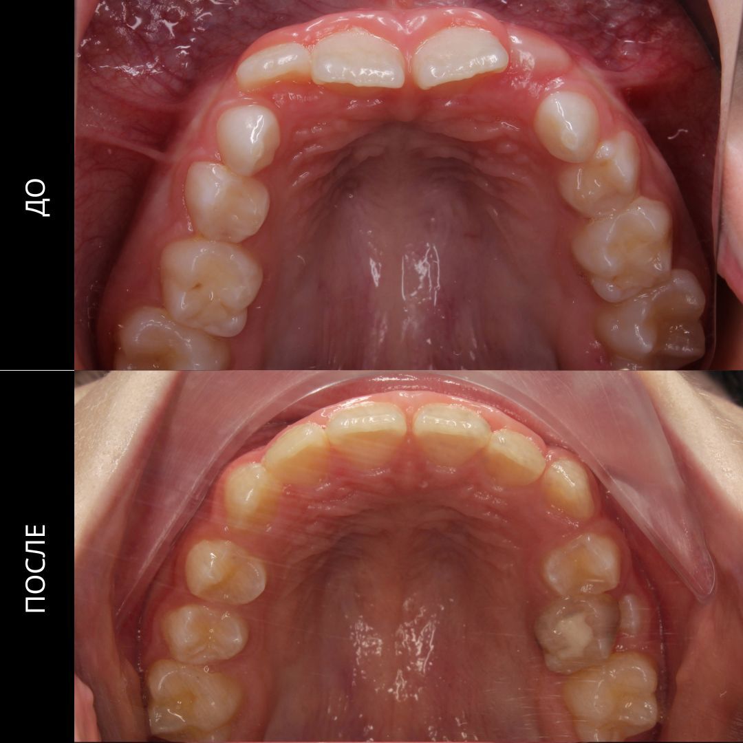
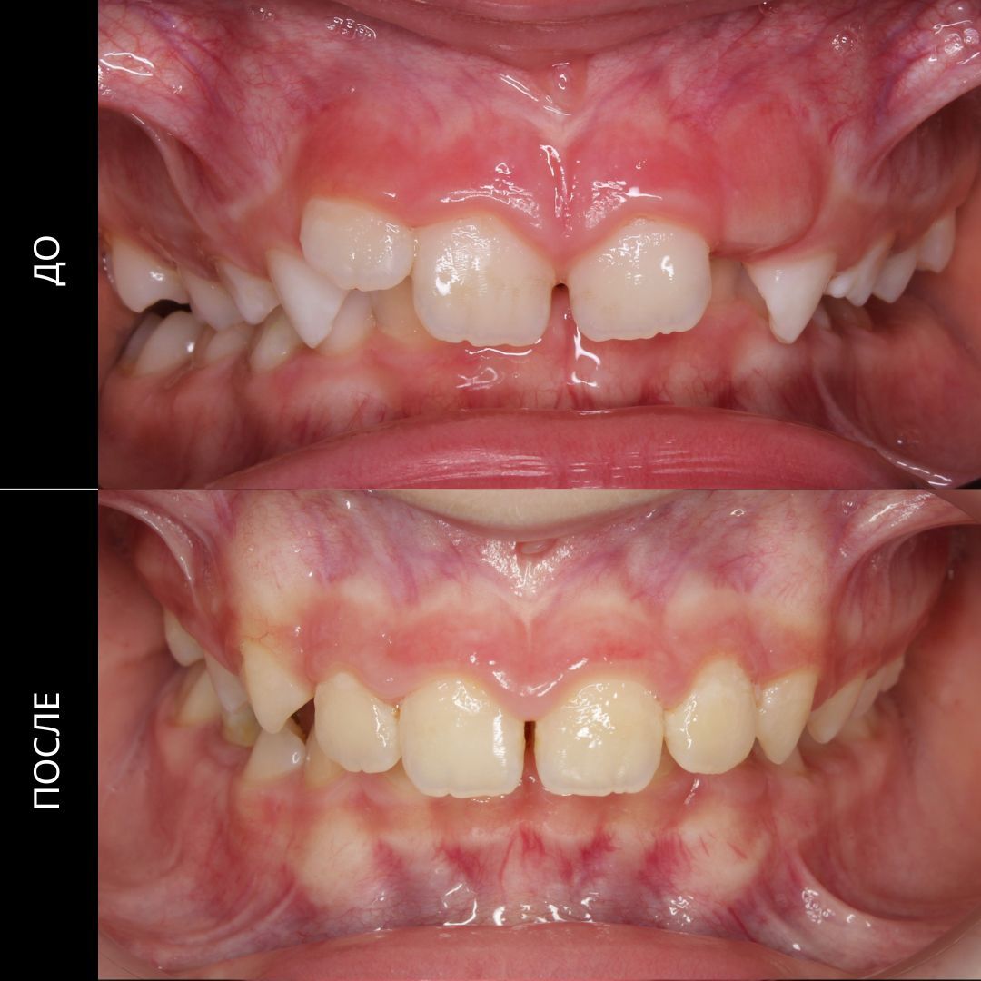
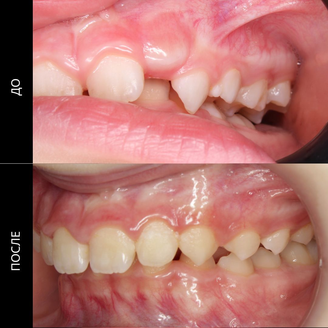
Исправление детского прикуса
Было проведено ортодонтическое лечение с помощью аппарата Хаас для быстрого небного расширения + подключение детской брекет-системы для улучшения положения зубов.