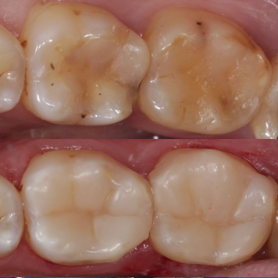
Пациент обратилась с жалобой на дискомфорт и периодическую боль в зубах, где ранее были установлены пломбы.
Проблема:
– Нарушение краевого прилегания
– Вторичный кариес под старыми пломбами
– Чувствительность при приеме пищи
Что мы сделали:
1. Провели тщательную диагностику и обнаружили микротрещины в старых пломбах
2. Удалили дефектные пломбы и обработали полости
3. Удалили все очаги вторичного кариеса
4. Установили современные композитные пломбы с идеальным краевым прилеганием
Результат:
– Восстановлена нормальная жевательная функция
– Устранена чувствительность и дискомфорт
– Естественный цвет и форма зубов
– Надежная защита от повторного развития кариеса
Помните! Даже качественные пломбы имеют ограниченный срок службы. Рекомендуем проходить профилактический осмотр каждые 6 месяцев, чтобы вовремя выявить возможные проблемы.
Проблема:
– Нарушение краевого прилегания
– Вторичный кариес под старыми пломбами
– Чувствительность при приеме пищи
Что мы сделали:
1. Провели тщательную диагностику и обнаружили микротрещины в старых пломбах
2. Удалили дефектные пломбы и обработали полости
3. Удалили все очаги вторичного кариеса
4. Установили современные композитные пломбы с идеальным краевым прилеганием
Результат:
– Восстановлена нормальная жевательная функция
– Устранена чувствительность и дискомфорт
– Естественный цвет и форма зубов
– Надежная защита от повторного развития кариеса
Помните! Даже качественные пломбы имеют ограниченный срок службы. Рекомендуем проходить профилактический осмотр каждые 6 месяцев, чтобы вовремя выявить возможные проблемы.