Клинические случаи
Терапия

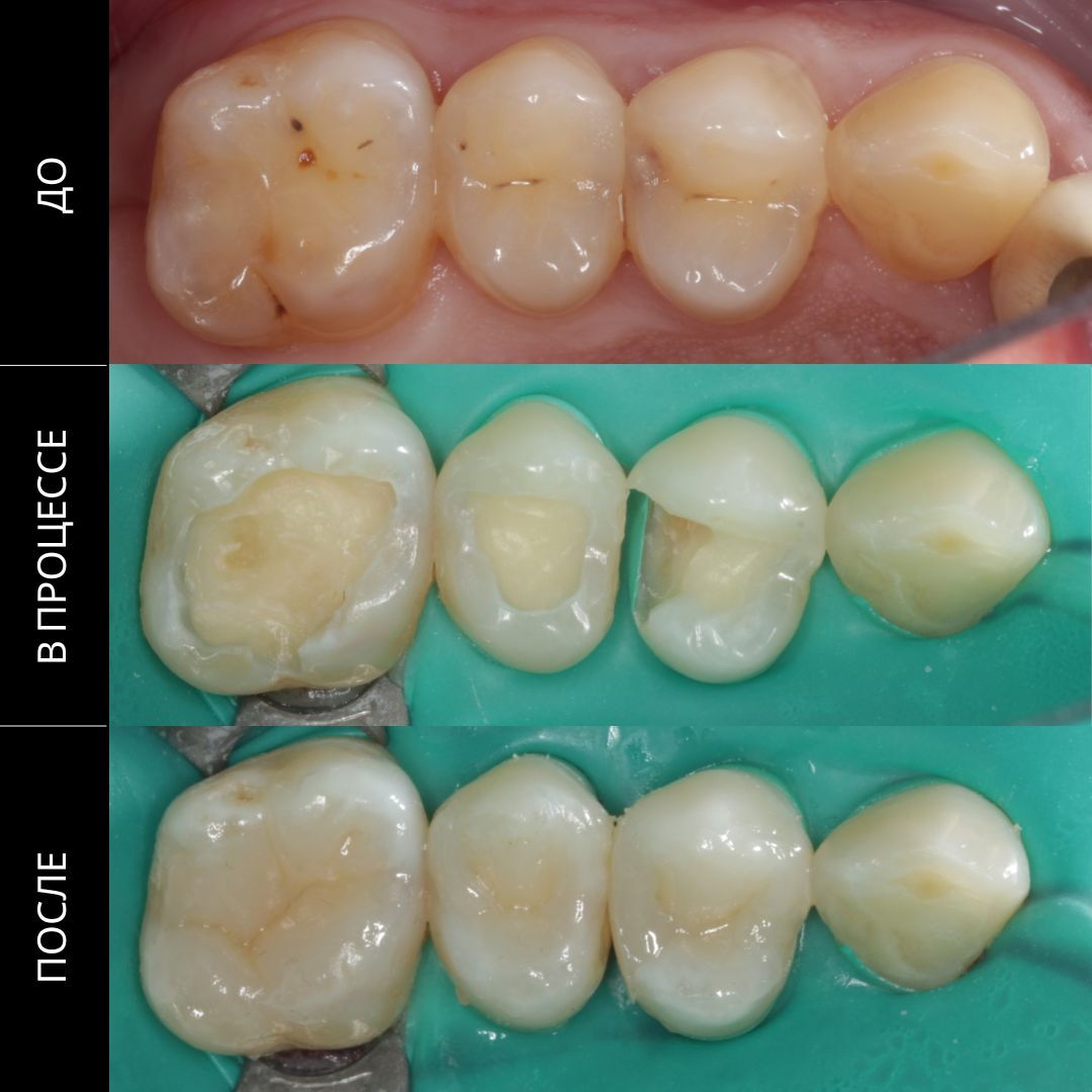
Лечение кариеса

Лечение кариеса сразу нескольких зубов — это удобно, безопасно и экономит ваше время.

Почему это стоит сделать одним визитом:

  • Меньше поездок: 2–4 пломбы можно выполнить за один прием.
  • Одна анестезия вместо нескольких уколов.
  • Комплексный подход: сразу устраняем все очаги, снижаем риск пульпита и осложнений.
  • Меньше стресса: вы приходите, и вопрос с кариесом решается системно.

Как проходит прием:

  • Диагностика: осмотр, при необходимости прицельный снимок.
  • Комфортная анестезия.
  • Изоляция зуба коффердамом.
  • Точное удаление размягченного дентина и восстановление зуба современными композитами по адгезивному протоколу.
  • Шлифовка, полировка и проверка прикуса.