Клинические случаи
Терапия

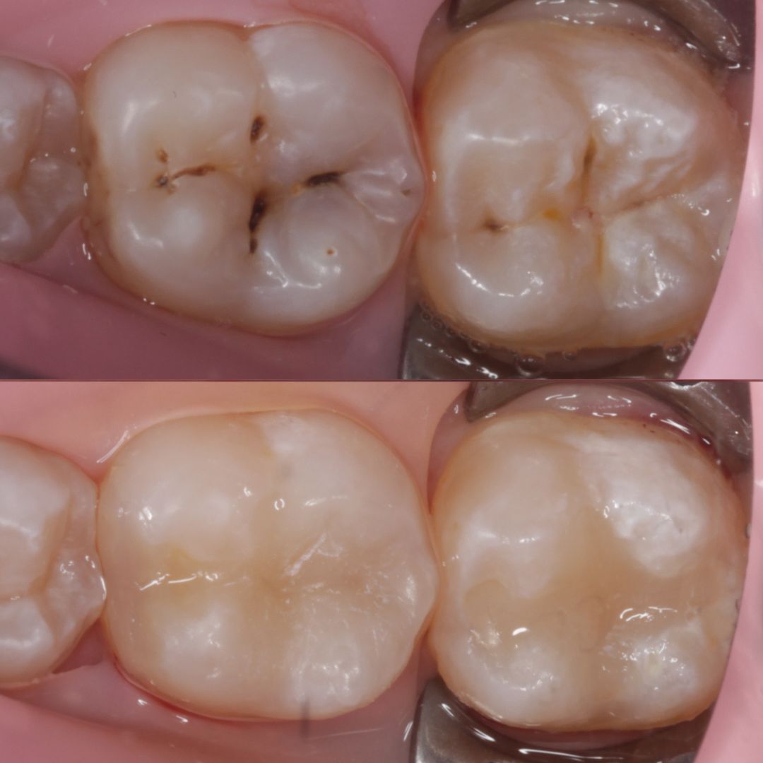
Лечение кариеса

Кариес не всегда заметен глазу!
Он может прятаться:

  • Между зубами
  • Под старыми пломбами
  • В глубоких фиссурах (бороздках зубов)

Иногда на поверхности видна только чёрная точка, а внутри зуба уже значительное разрушение.

Почему важно лечить кариес на начальных этапах?

  • Минимальное вмешательство — сохраняем больше здоровых тканей
  • Меньше времени в кресле
  • Доступнее по цене
  • Зуб остается живым — не требуется удаление нерва

Запущенный кариес → пульпит → периодонтит → возможная потеря зуба

Приходите на профилактический осмотр раз в 6 месяцев — мы заметим проблему раньше, чем она заметит вас!