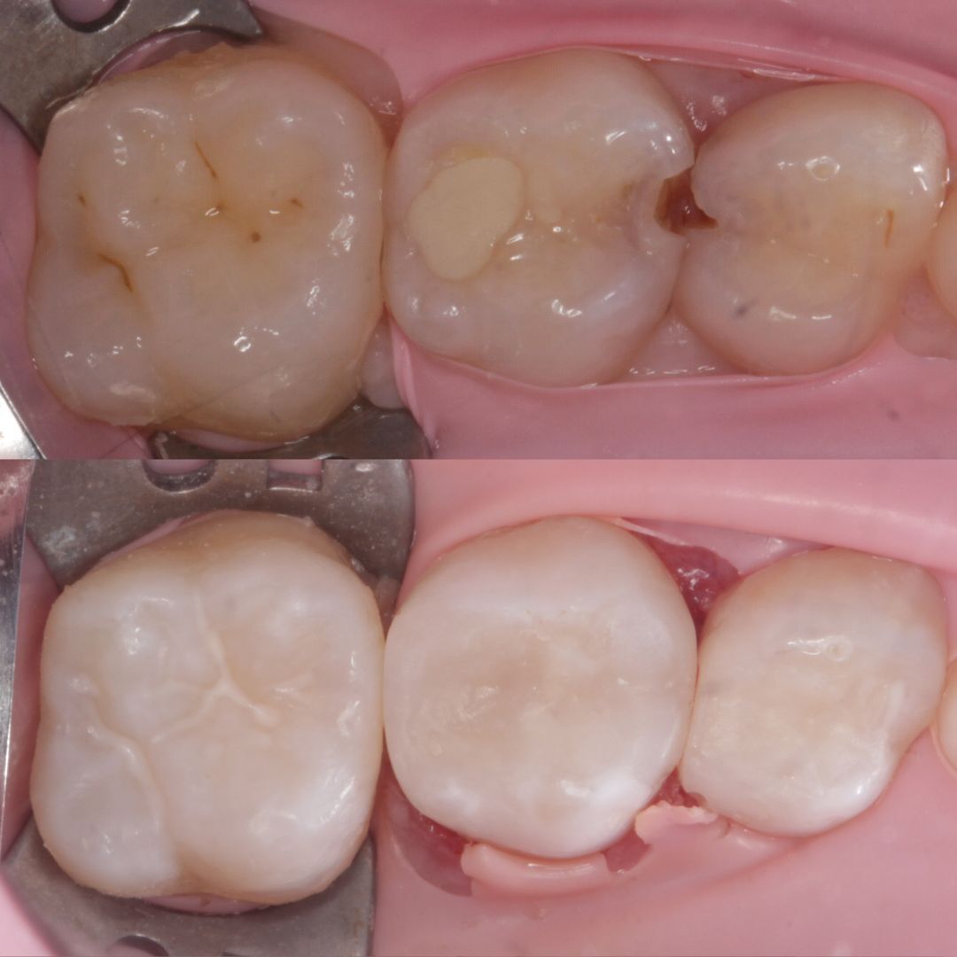
Двойная защита для детских зубов!
Что мы сделали:
Почему это важно в период смены зубов?
Результат:
Герметизация фиссур — это инвестиция в здоровье постоянных зубов вашего ребёнка!
Записывайтесь на профилактический осмотр. Особенно важно для детей 6-7 лет!
Что мы сделали:
- Вылечили кариес — бережно, без боли, с применением современных композитных материалов
- Провели герметизацию фиссур — запечатали естественные углубления на здоровом зубе специальным составом
Почему это важно в период смены зубов?
- Эмаль только что прорезавшихся зубов ещё незрелая и уязвимая
- Глубокие бороздки — идеальное место для скопления бактерий
- Дети в 6-8 лет не всегда качественно чистят зубы
Результат:
- Кариес устранен
- Постоянные зубы надёжно защищены на 2-3 года
- Ребёнок спокойно перенёс лечение и ушёл с подарком
Герметизация фиссур — это инвестиция в здоровье постоянных зубов вашего ребёнка!
Записывайтесь на профилактический осмотр. Особенно важно для детей 6-7 лет!