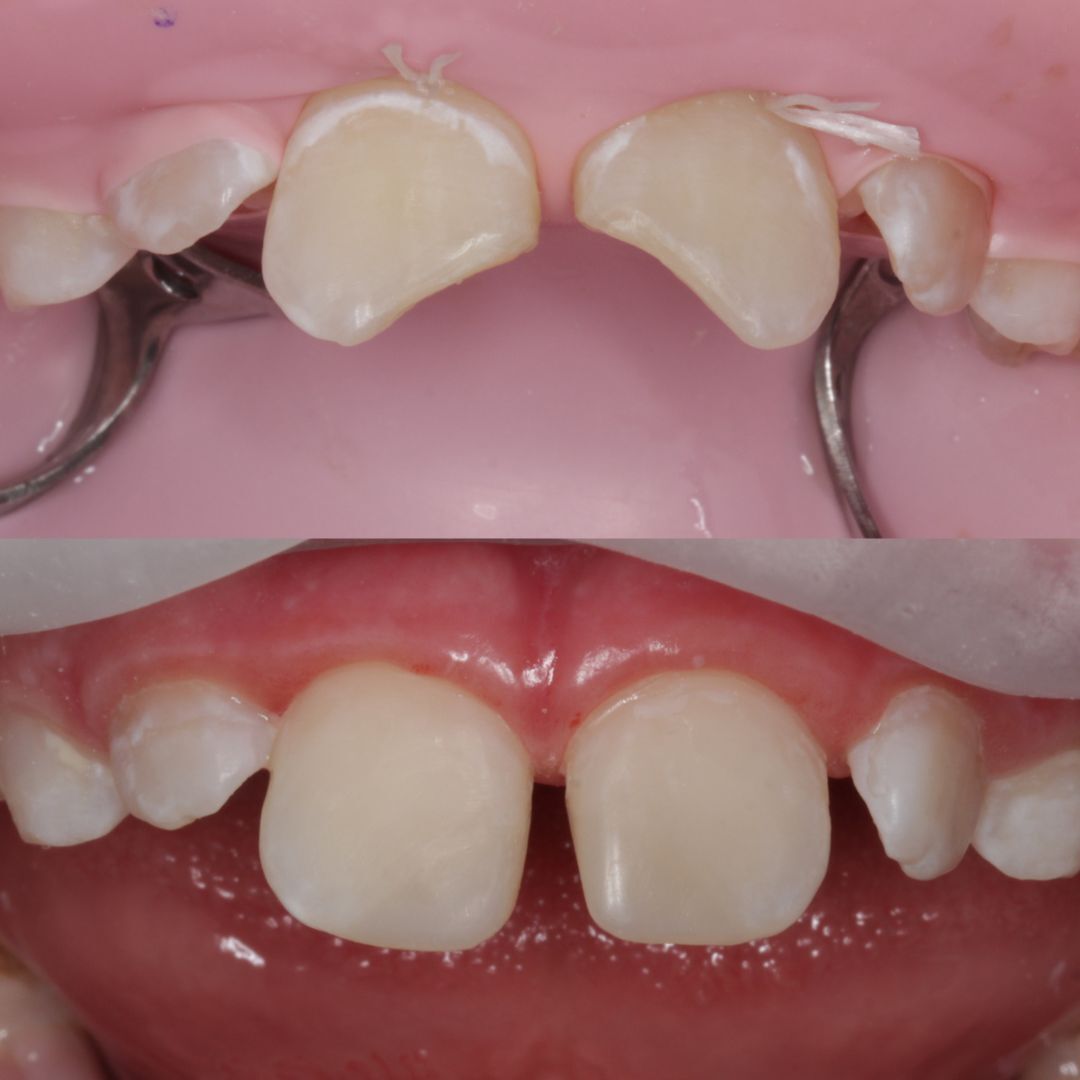
Скол или травма передних зубов — это не приговор!
Упали на льду, неудачно откусили что-то твердое или получили травму при занятиях спортом? Мы знаем, как вернуть вашей улыбке естественную красоту.
Современные методы реставрации:
Почему важно не откладывать?
Наши преимущества:
Случилась неприятность? Записывайтесь на консультацию!
Мы подберем оптимальное решение именно для вашего случая.
Упали на льду, неудачно откусили что-то твердое или получили травму при занятиях спортом? Мы знаем, как вернуть вашей улыбке естественную красоту.
Современные методы реставрации:
- Художественная реставрация композитом — восстановление за 1 визит
- Виниры и люминиры — идеальная эстетика на долгие годы
- Коронки — при значительных повреждениях
Почему важно не откладывать?
- Сколотый зуб продолжает разрушаться
- Повышается чувствительность
- Нарушается прикус
- Страдает эстетика улыбки
Наши преимущества:
- Полное цветовое соответствие вашим зубам
- Безболезненные процедуры
- Долговечный результат
- Гарантия на все работы
Случилась неприятность? Записывайтесь на консультацию!
Мы подберем оптимальное решение именно для вашего случая.