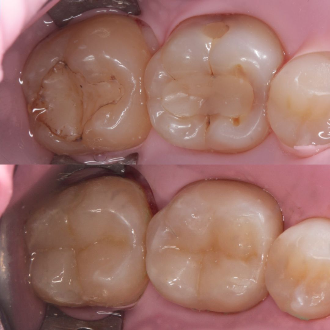
Время заменить пломбу? Не откладывайте на завтра!
Многие думают: «Пломба держится — значит, все в порядке». Но это не всегда так!
Когда пора к врачу:
• Пломба изменила цвет или потемнела
• Появились трещины или сколы
• Чувствуете шероховатость языком
• Болезненные ощущения при жевании
Почему это важно:
Помните: профилактика всегда дешевле лечения!
Многие думают: «Пломба держится — значит, все в порядке». Но это не всегда так!
Когда пора к врачу:
• Пломба изменила цвет или потемнела
• Появились трещины или сколы
• Чувствуете шероховатость языком
• Болезненные ощущения при жевании
Почему это важно:
- Предотвращение повторного кариеса
- Сохранение здоровья зуба
- Экономия на сложном лечении в будущем
Помните: профилактика всегда дешевле лечения!