Чёрный налёт на зубах у детей — что это и как с ним бороться?
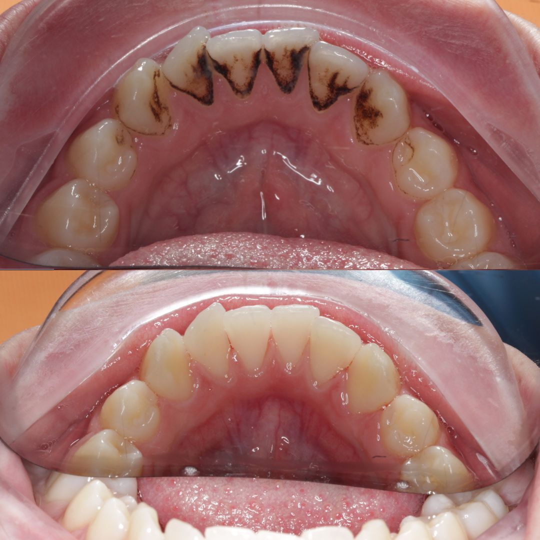
Многие родители сталкиваются с тем, что на молочных зубках ребёнка появляются тёмные или чёрные полоски, особенно у линии десны. Это может вызывать тревогу, но не всегда означает что-то опасное.
Что это такое?
⠀
Этот налёт — не кариес и не всегда связан с плохой гигиеной. Его называют «чёрным хромогенным налётом». Он чаще всего появляется из-за специфических бактерий в полости рта, которые выделяют пигменты, реагирующие с железом в слюне. Такие пятна трудно убрать щёткой в домашних условиях, и они часто возвращаются.
Что делать?
Хотите, чтобы улыбка вашего малыша оставалась сияющей? Запишитесь на профессиональную чистку в нашей клинике!
Многие родители сталкиваются с тем, что на молочных зубках ребёнка появляются тёмные или чёрные полоски, особенно у линии десны. Это может вызывать тревогу, но не всегда означает что-то опасное.
Что это такое?
⠀
Этот налёт — не кариес и не всегда связан с плохой гигиеной. Его называют «чёрным хромогенным налётом». Он чаще всего появляется из-за специфических бактерий в полости рта, которые выделяют пигменты, реагирующие с железом в слюне. Такие пятна трудно убрать щёткой в домашних условиях, и они часто возвращаются.
Что делать?
- Регулярно проводить профессиональную гигиену полости рта — не реже одного раза в 6 месяцев.
- Обучать ребёнка правильной чистке зубов и подбирать подходящую щётку.
- Посещать стоматолога для контроля состояния зубов — даже если ребёнок не жалуется.
- Важно: Чёрный налёт — это не повод для паники, но и не стоит его игнорировать. Только врач сможет определить точную причину и дать индивидуальные рекомендации.
Хотите, чтобы улыбка вашего малыша оставалась сияющей? Запишитесь на профессиональную чистку в нашей клинике!