Потерял ребенок молочный зуб раньше времени? Не переживайте!
Сохранитель места поможет избежать проблем в будущем!
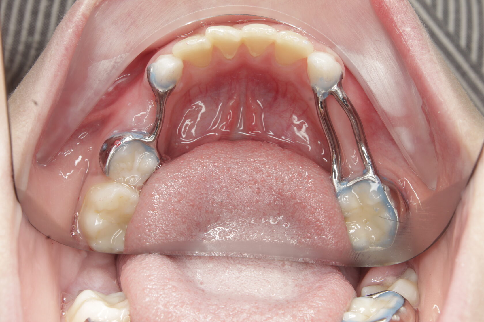
Что это такое?
Специальная конструкция, которая «держит место» для постоянного зуба, не давая соседним зубам сместиться.
Когда нужен сохранитель места:
Преимущества:
Процедура установки:
Быстро, безболезненно и комфортно для ребенка! Всего за одно посещение мы защитим улыбку вашего малыша.
Помните: профилактика всегда лучше лечения!
Сохранитель места поможет избежать проблем в будущем!
Что это такое?
Специальная конструкция, которая «держит место» для постоянного зуба, не давая соседним зубам сместиться.
Когда нужен сохранитель места:
- Преждевременная потеря молочного зуба
- Удаление зуба из-за кариеса или травмы
- Когда до прорезывания постоянного зуба еще далеко
Преимущества:
- Предотвращает смещение зубов
- Сохраняет правильный прикус
- Избавляет от сложного ортодонтического лечения в будущем
- Экономит время и деньги
Процедура установки:
Быстро, безболезненно и комфортно для ребенка! Всего за одно посещение мы защитим улыбку вашего малыша.
Помните: профилактика всегда лучше лечения!