Зачем и как часто стоит проводить профессиональную гигиену полости рта детям?
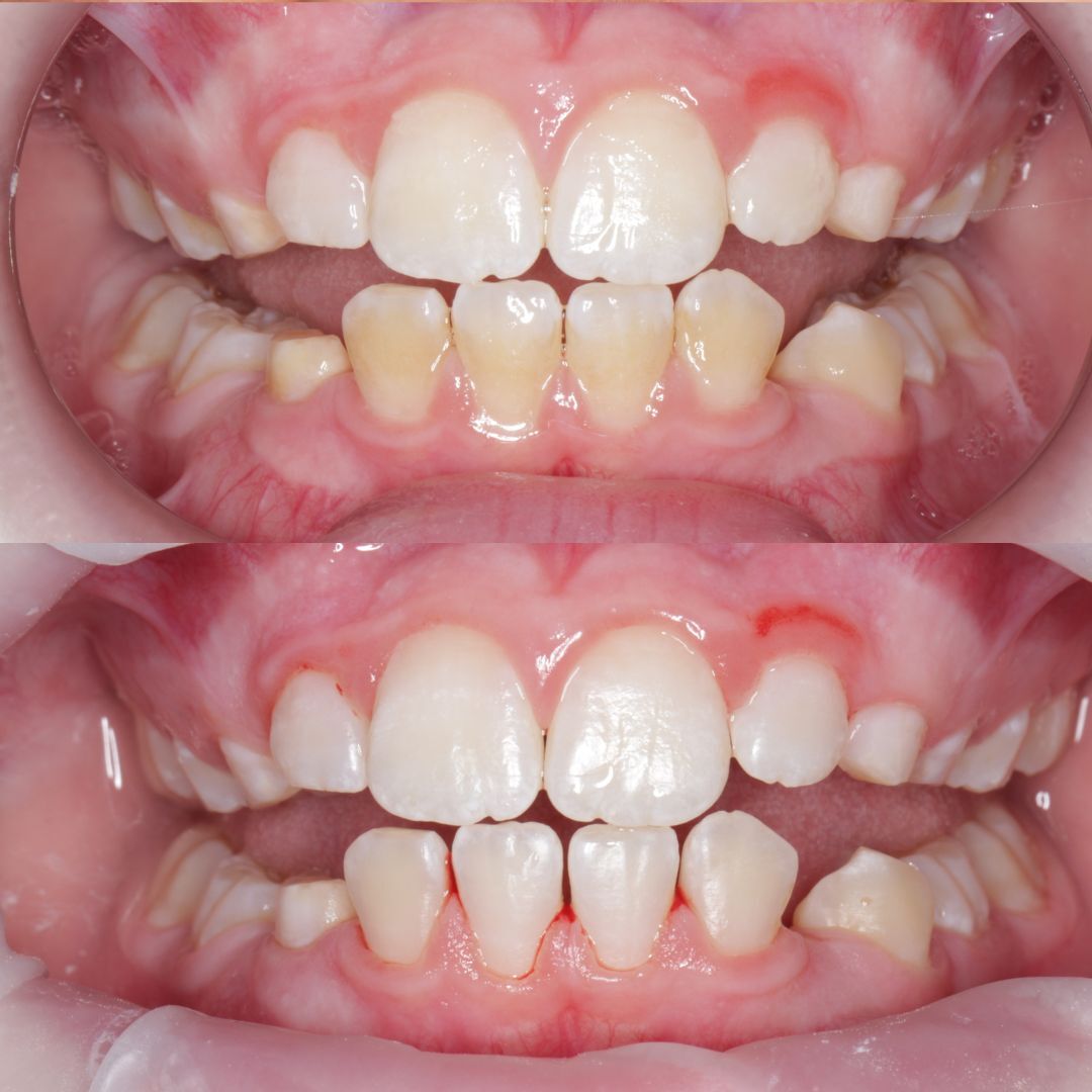
Забота о здоровье зубов важна с самого раннего возраста! А профессиональная гигиена полости рта – это не просто профилактика кариеса, но и основа для здоровой улыбки на всю жизнь.
Почему это важно?
1. Профилактика кариеса: Даже если ребенок активно чистит зубы, налет и бактерии могут скапливаться в труднодоступных местах. Профессиональная чистка поможет избавиться от всего лишнего!
2. Здоровье десен: С помощью профессиональной чистки можно предотвратить воспаление десен и другие заболевания, которые могут повлиять на зубы.
3. Психологический аспект: Дети, которые регулярно посещают стоматолога, меньше боятся процедур и легче привыкают к правильной гигиене.
Как часто?
Рекомендуется проводить гигиену раз в 6 месяцев. Это идеальный промежуток для поддержания здоровья зубов и десен ребенка.
Что включает процедура?
1. Удаление зубного налета и камня.
2. Полировка зубов для предотвращения повторного накопления налета.
3. Консультация по правильной гигиене полости рта и уходу за зубами.
Помните, здоровые зубки с детства – это залог прекрасной улыбки и уверенности в будущем!
Не откладывайте визит к стоматологу — запишитесь на профессиональную гигиену уже сегодня!
Забота о здоровье зубов важна с самого раннего возраста! А профессиональная гигиена полости рта – это не просто профилактика кариеса, но и основа для здоровой улыбки на всю жизнь.
Почему это важно?
1. Профилактика кариеса: Даже если ребенок активно чистит зубы, налет и бактерии могут скапливаться в труднодоступных местах. Профессиональная чистка поможет избавиться от всего лишнего!
2. Здоровье десен: С помощью профессиональной чистки можно предотвратить воспаление десен и другие заболевания, которые могут повлиять на зубы.
3. Психологический аспект: Дети, которые регулярно посещают стоматолога, меньше боятся процедур и легче привыкают к правильной гигиене.
Как часто?
Рекомендуется проводить гигиену раз в 6 месяцев. Это идеальный промежуток для поддержания здоровья зубов и десен ребенка.
Что включает процедура?
1. Удаление зубного налета и камня.
2. Полировка зубов для предотвращения повторного накопления налета.
3. Консультация по правильной гигиене полости рта и уходу за зубами.
Помните, здоровые зубки с детства – это залог прекрасной улыбки и уверенности в будущем!
Не откладывайте визит к стоматологу — запишитесь на профессиональную гигиену уже сегодня!