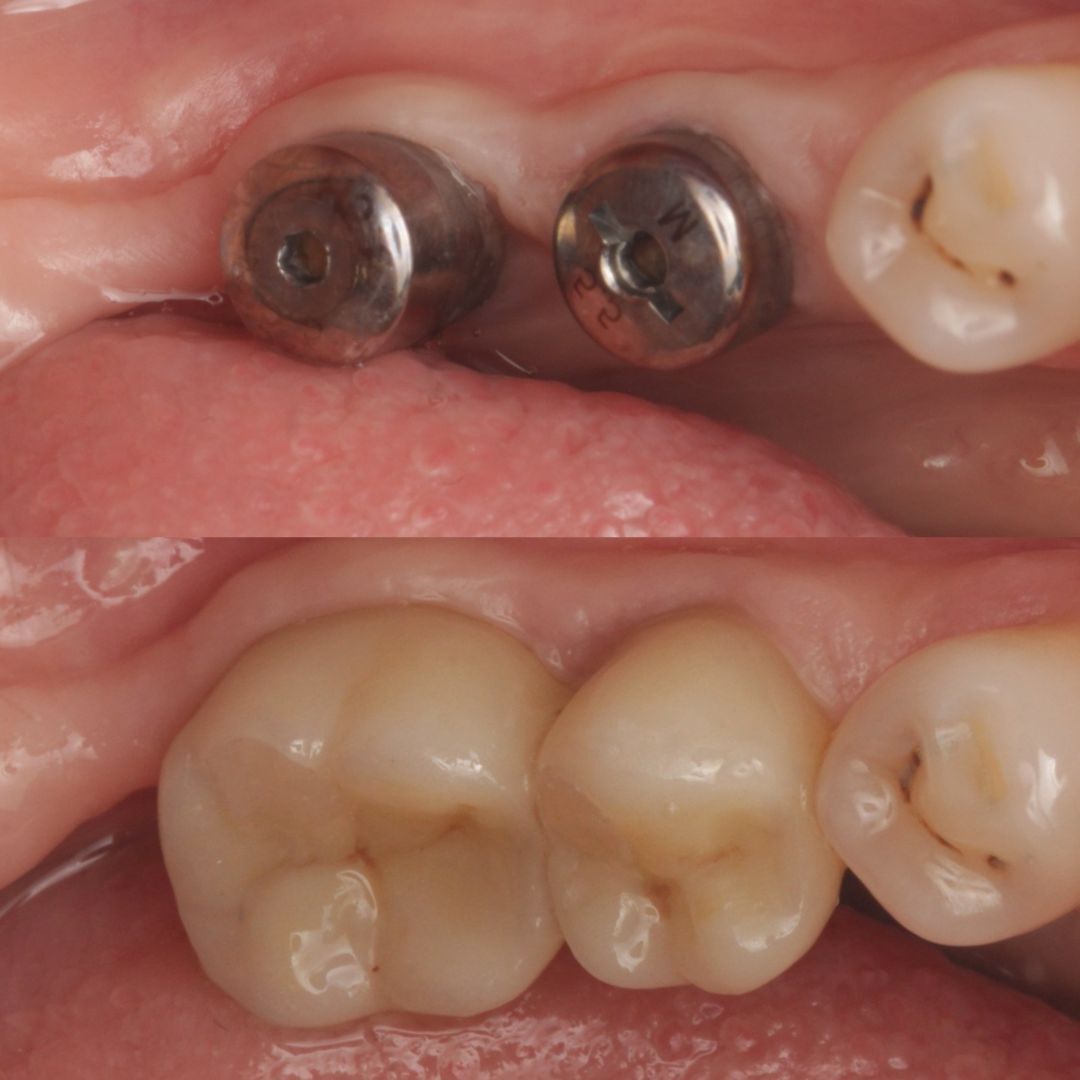
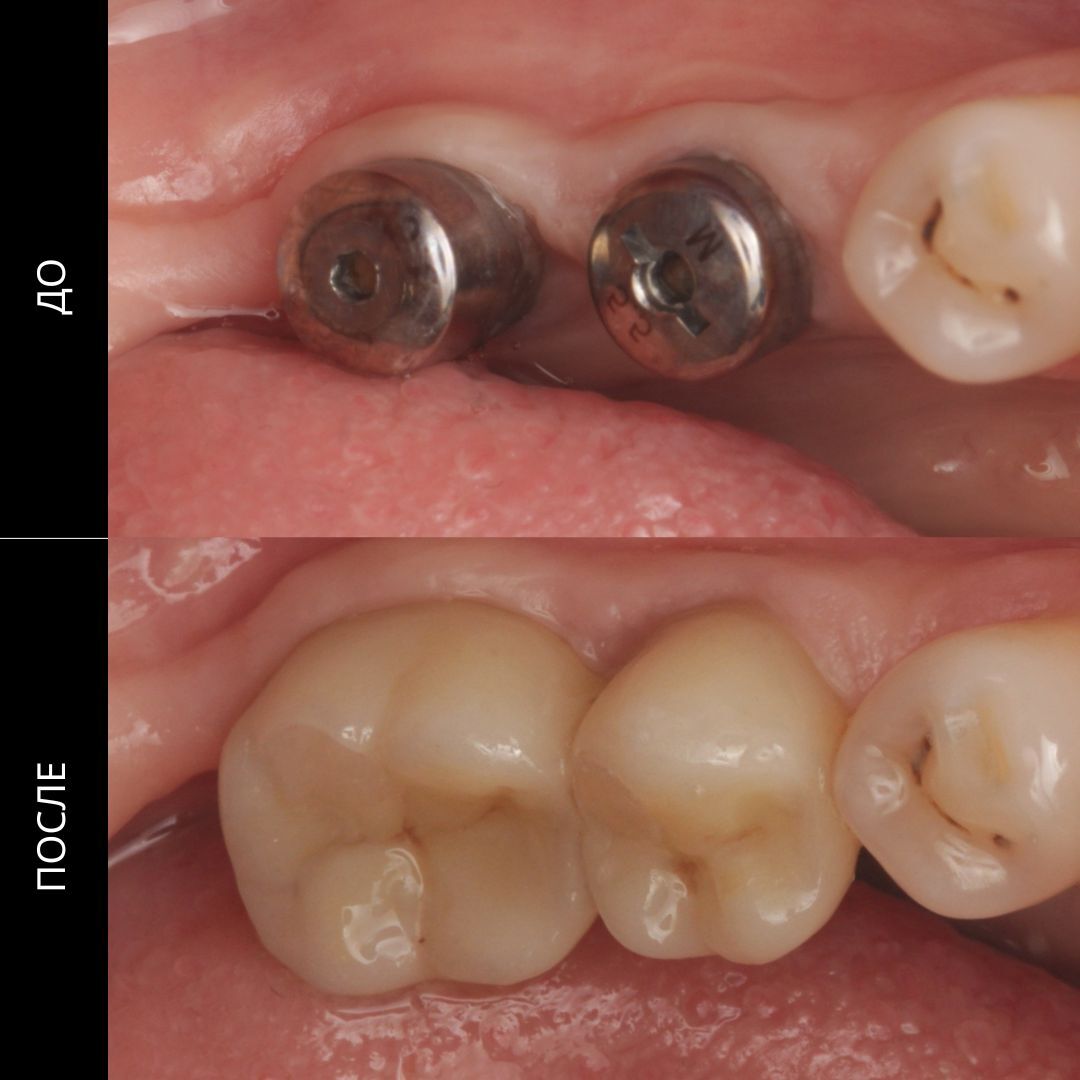
Коронки на имплантах выглядят и ощущаются как свои зубы!
Почему это лучшее решение:
→ Не затрагиваем здоровые зубы
→ Останавливаем атрофию кости
→ Служат десятилетиями
→ Полный комфорт при жевании
Современные материалы — керамика и цирконий — позволяют создать коронку, которую невозможно отличить от натуральных зубов по цвету, форме и прозрачности. Результат — это не просто восстановление функции жевания, но и естественная, красивая улыбка!
Почему это лучшее решение:
→ Не затрагиваем здоровые зубы
→ Останавливаем атрофию кости
→ Служат десятилетиями
→ Полный комфорт при жевании
Современные материалы — керамика и цирконий — позволяют создать коронку, которую невозможно отличить от натуральных зубов по цвету, форме и прозрачности. Результат — это не просто восстановление функции жевания, но и естественная, красивая улыбка!