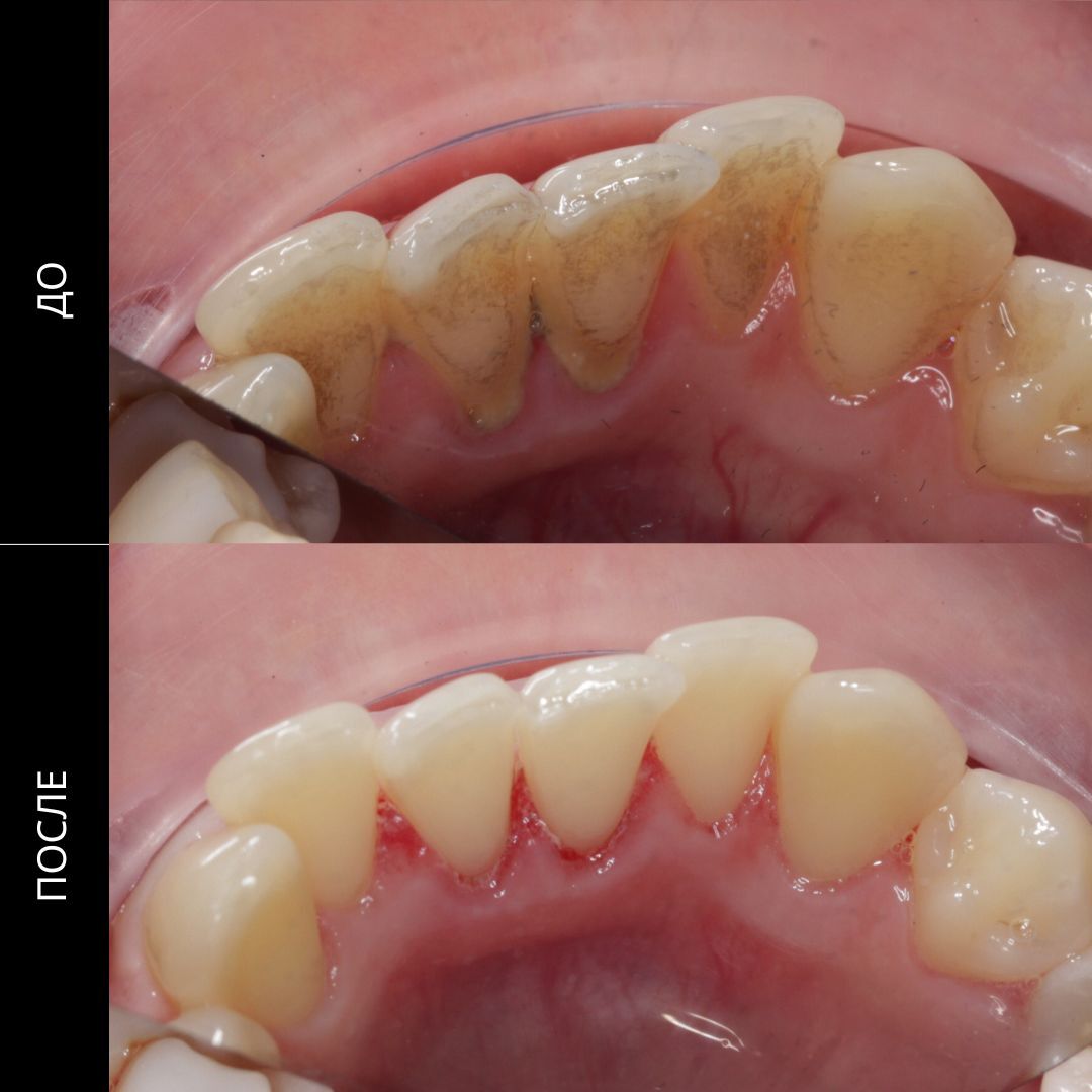
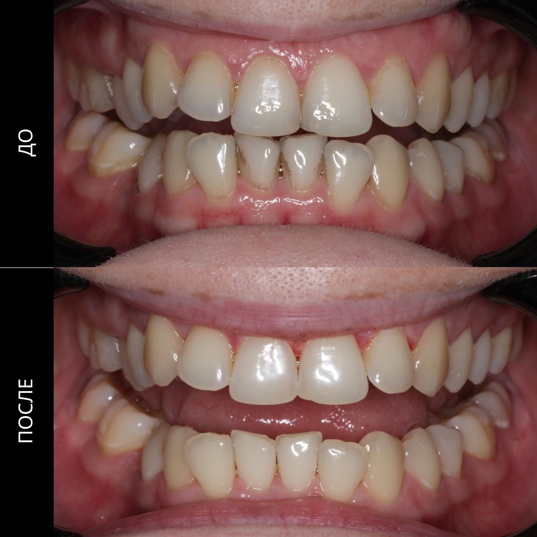
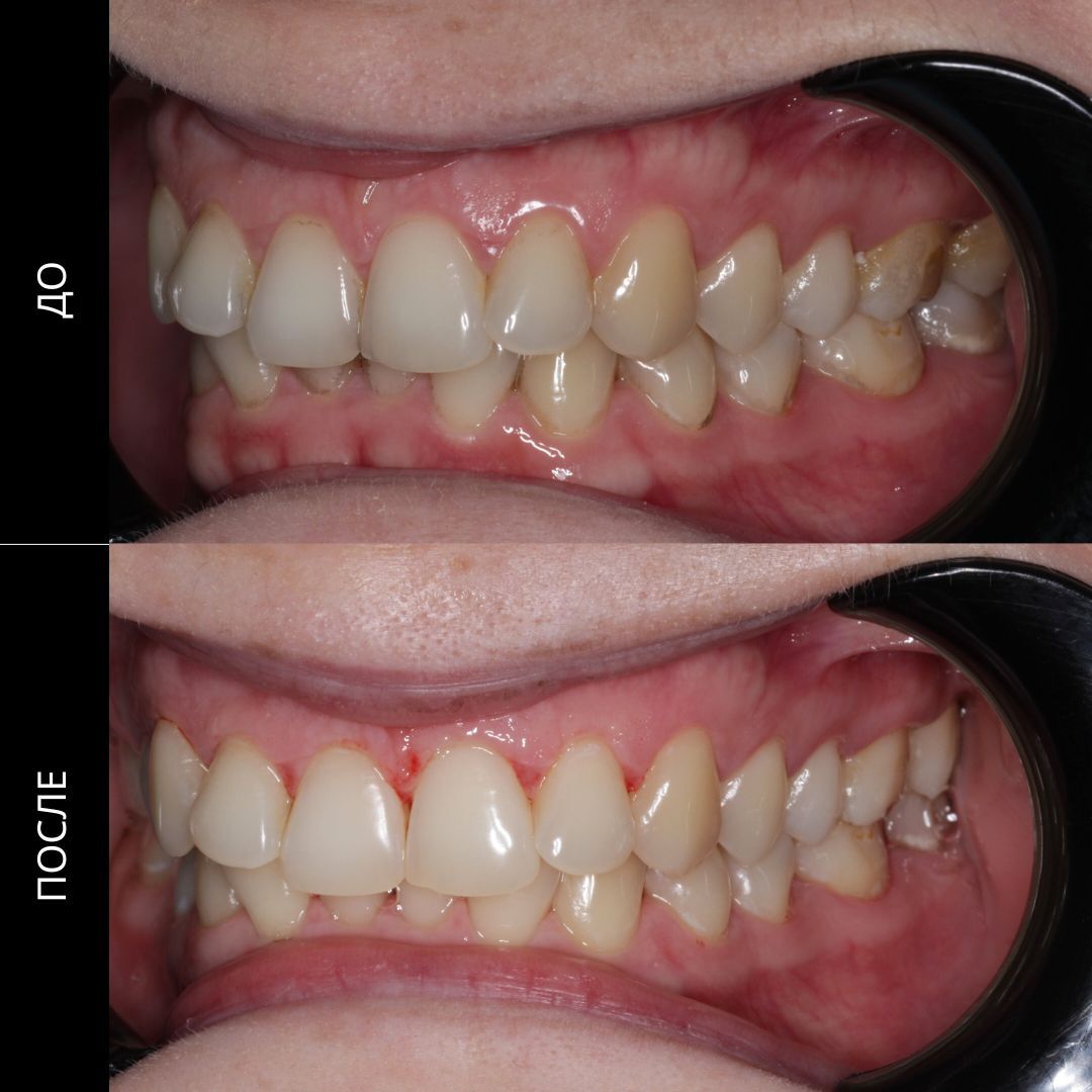
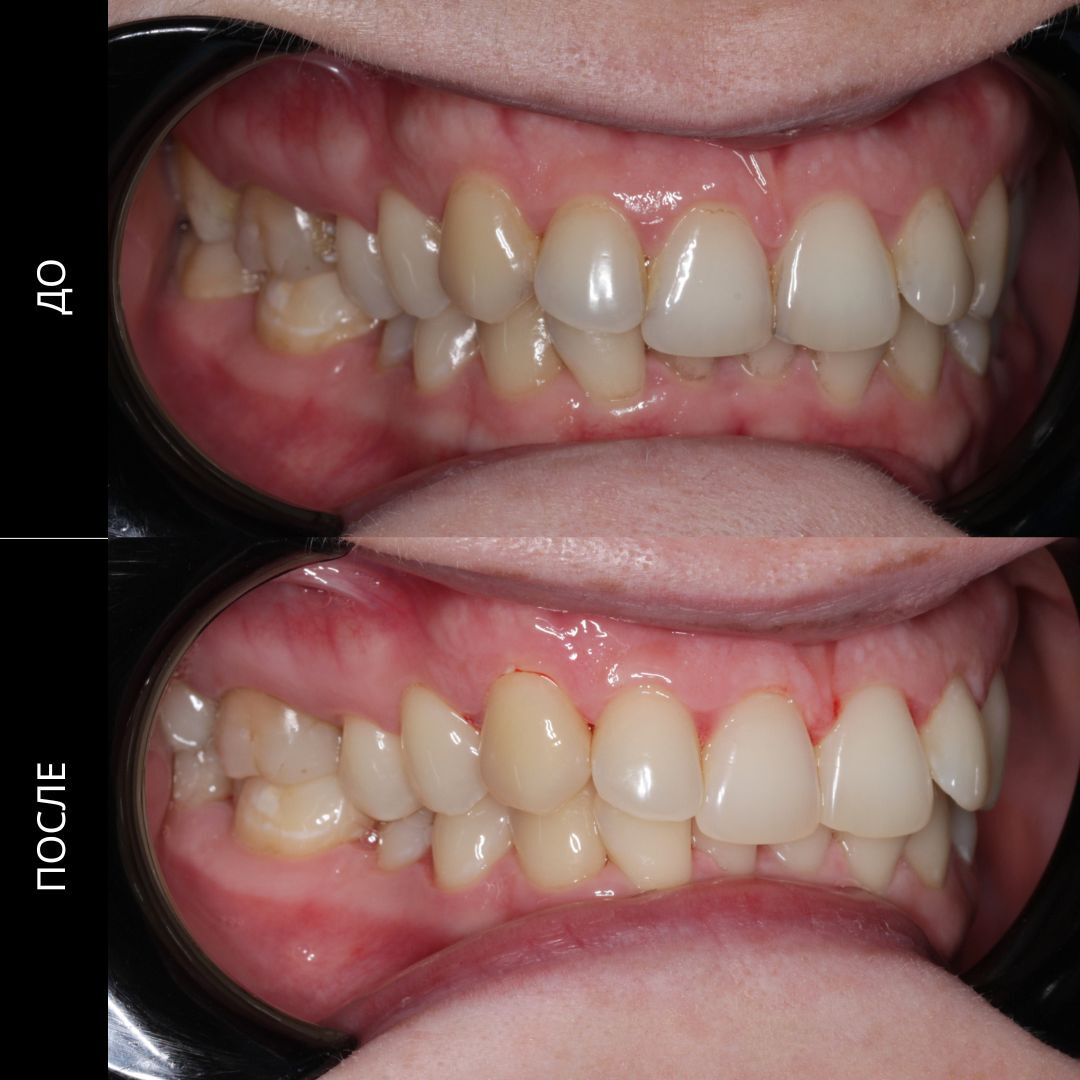
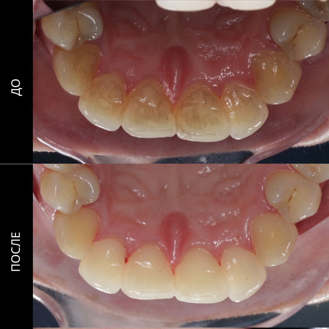
Профессиональная гигиена — это не роскошь, а необходимость!
Многие считают, что достаточно чистить зубы дважды в день. Но правда в том, что домашняя гигиена удаляет только 60% налёта!
Почему профессиональная чистка так важна?
Как часто нужна профгигиена?
Рекомендуем проводить процедуру каждые 6 месяцев, а при склонности к образованию камня — каждые 3-4 месяца.
Многие считают, что достаточно чистить зубы дважды в день. Но правда в том, что домашняя гигиена удаляет только 60% налёта!
Почему профессиональная чистка так важна?
- Предотвращает кариес и болезни дёсен
- Свежее дыхание
- Естественная белизна
- Экономия в будущем
Как часто нужна профгигиена?
Рекомендуем проводить процедуру каждые 6 месяцев, а при склонности к образованию камня — каждые 3-4 месяца.