Когда необходима установка коронок на зубы?
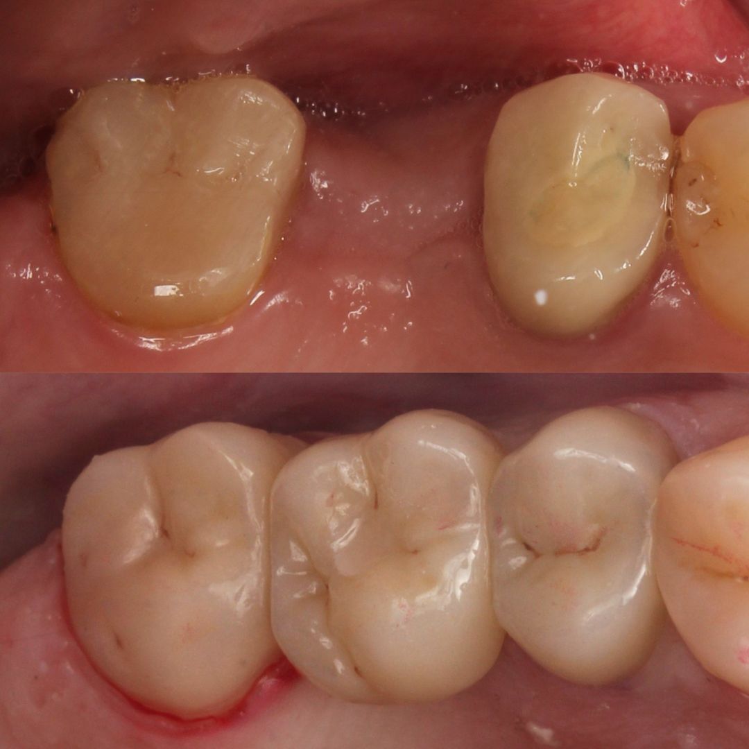
Зубная коронка — это своеобразный «колпачок», который восстанавливает форму и функцию повреждённого зуба. Разберёмся, в каких случаях без неё не обойтись:
Основные показания:
1. Сильное разрушение зуба
Когда от зуба осталось менее 50% — пломба уже не справится. Коронка защитит оставшиеся ткани и восстановит функцию жевания.
2. После лечения каналов
Зуб без нерва становится хрупким и может расколоться. Коронка — надёжная защита на долгие годы.
3. Эстетические дефекты
Потемнение, пятна, неправильная форма — коронка вернёт красоту улыбке.
4. Установка имплантата
Коронка — завершающий этап имплантации.
Помните: своевременная установка коронки — это инвестиция в здоровье зубов и экономия на сложном лечении в будущем!
Зубная коронка — это своеобразный «колпачок», который восстанавливает форму и функцию повреждённого зуба. Разберёмся, в каких случаях без неё не обойтись:
Основные показания:
1. Сильное разрушение зуба
Когда от зуба осталось менее 50% — пломба уже не справится. Коронка защитит оставшиеся ткани и восстановит функцию жевания.
2. После лечения каналов
Зуб без нерва становится хрупким и может расколоться. Коронка — надёжная защита на долгие годы.
3. Эстетические дефекты
Потемнение, пятна, неправильная форма — коронка вернёт красоту улыбке.
4. Установка имплантата
Коронка — завершающий этап имплантации.
Помните: своевременная установка коронки — это инвестиция в здоровье зубов и экономия на сложном лечении в будущем!