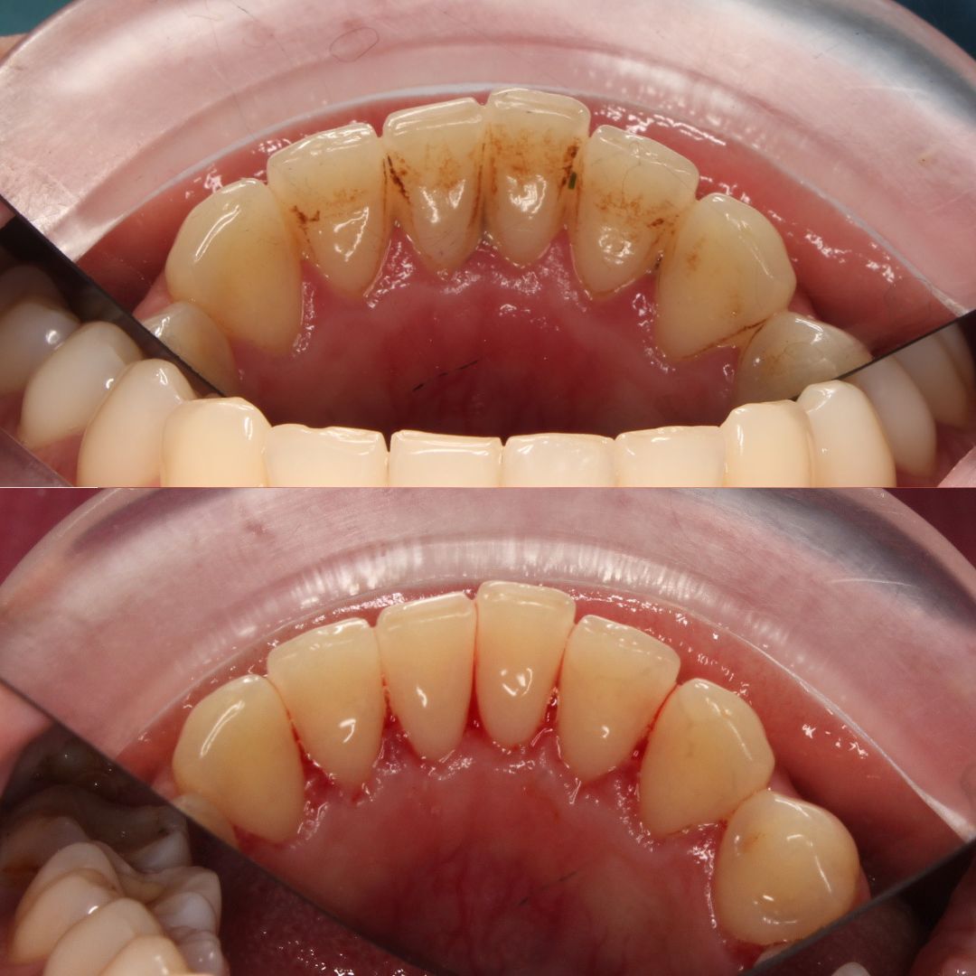
Всего за 1 час мы вернули улыбке пациента естественную белизну и свежесть! Исчезли все отложения, а зубы приобрели здоровый блеск без повреждения эмали.
Почему профгигиена так важна:
Рекомендуем проходить процедуру каждые 6 месяцев!
Запишитесь на профессиональную гигиену полости рта уже сегодня и подарите своей улыбке лучший уход!
Почему профгигиена так важна:
- Предотвращает развитие кариеса и заболеваний десен
- Устраняет неприятный запах изо рта
- Возвращает естественный цвет зубам
- Позволяет выявить проблемы на ранней стадии
Рекомендуем проходить процедуру каждые 6 месяцев!
Запишитесь на профессиональную гигиену полости рта уже сегодня и подарите своей улыбке лучший уход!