Исправление перекрестного прикуса
Данная патология встречается не часто: у детей и подростков примерно в 2% случаев, у взрослого населения – 3%.
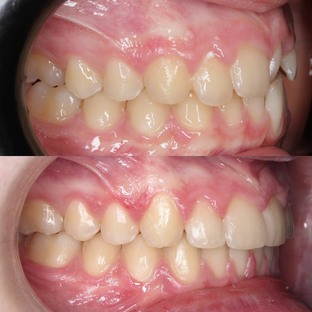
Асимметричный прикус проявляется в виде смещения в горизонтальном направлении нижней челюсти, в результате чего нарушаются естественные пропорции лица, а зубы смыкаются внахлест, чрезмерно сильно перекрывая друг друга при смыкании челюстей.
Однако, исправить прикус любой сложности можно — нужно обратиться в клинику на приём к врачу-ортодонту.
Ортодонтические системы помогут вернуть зубы в исходное положение, исправят улыбку и уберут любой дискомфорт.
В результате лечения дефекты прикуса у нашего пациента были полностью устранены.
Лана Ивановна сформировала идеально ровные зубные ряды, добилась правильного смыкания зубов, устранила проблемы с дикцией и дыханием.
Доверьте лечение зубов команде ОртоПоинт! Мы знаем, как сделать их здоровыми на долгие годы.
Запишитесь на консультацию в нашу стоматологию — и обретите радость с привлекательной улыбкой.
Данная патология встречается не часто: у детей и подростков примерно в 2% случаев, у взрослого населения – 3%.
Асимметричный прикус проявляется в виде смещения в горизонтальном направлении нижней челюсти, в результате чего нарушаются естественные пропорции лица, а зубы смыкаются внахлест, чрезмерно сильно перекрывая друг друга при смыкании челюстей.
Однако, исправить прикус любой сложности можно — нужно обратиться в клинику на приём к врачу-ортодонту.
Ортодонтические системы помогут вернуть зубы в исходное положение, исправят улыбку и уберут любой дискомфорт.
В результате лечения дефекты прикуса у нашего пациента были полностью устранены.
Лана Ивановна сформировала идеально ровные зубные ряды, добилась правильного смыкания зубов, устранила проблемы с дикцией и дыханием.
Доверьте лечение зубов команде ОртоПоинт! Мы знаем, как сделать их здоровыми на долгие годы.
Запишитесь на консультацию в нашу стоматологию — и обретите радость с привлекательной улыбкой.