Клинические случаи
2026-02-25 19:59
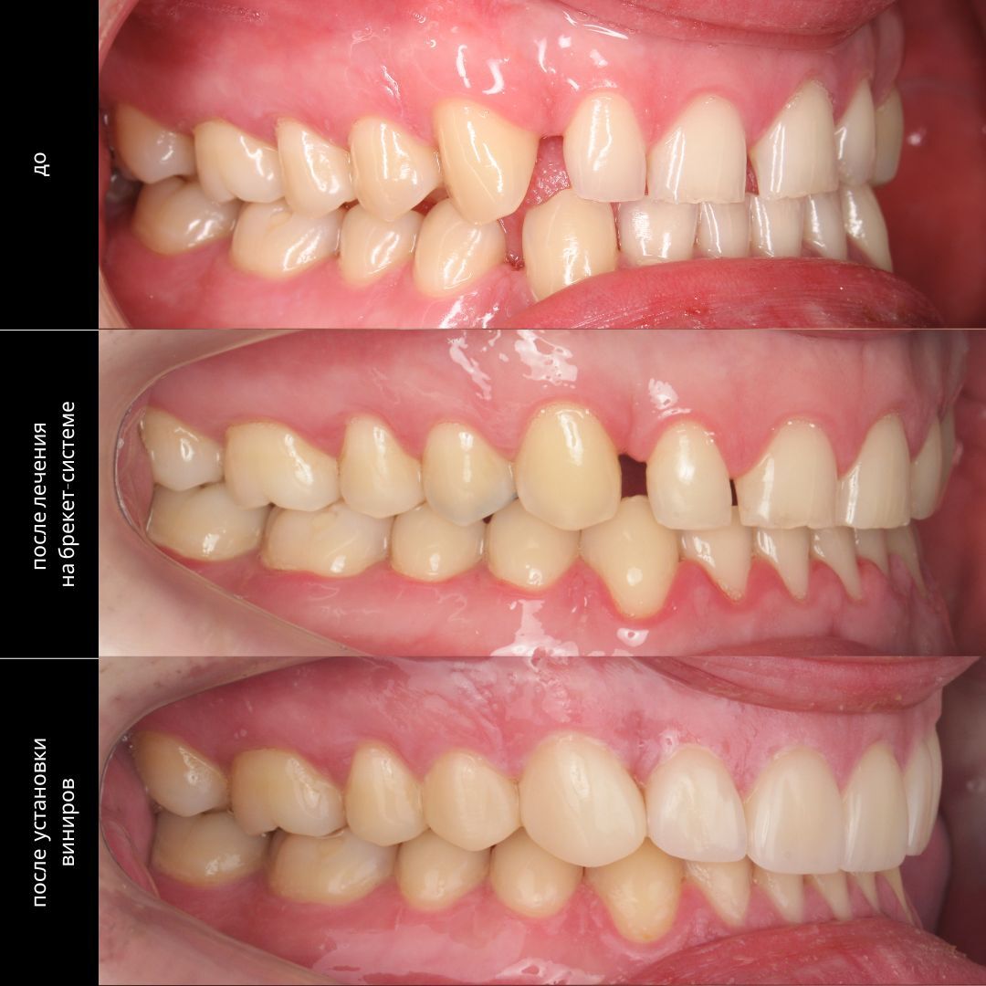
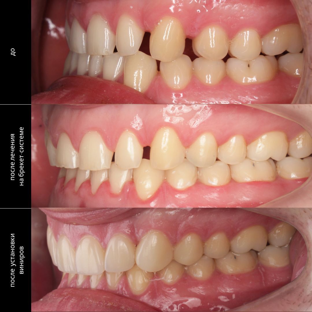
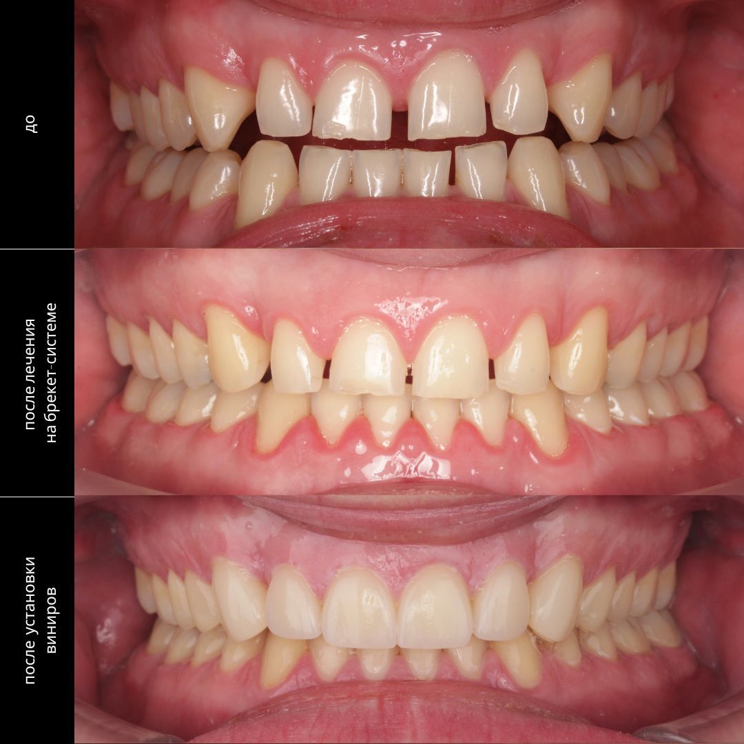
Ортодонтия
Ортопедия
Исправление прикуса, виниры