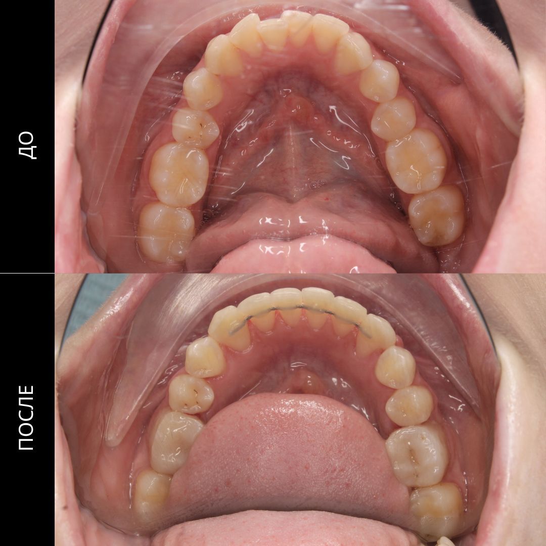
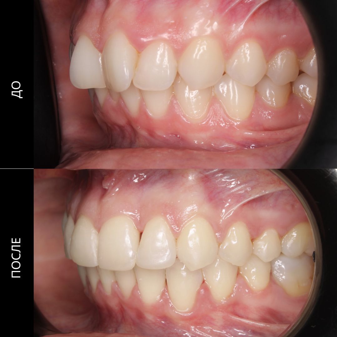
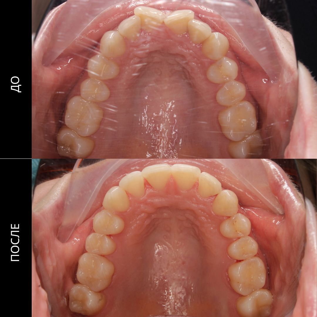
Клинические случаи
Ортодонтия

Исправление прикуса брекетами