Клинические случаи
2026-03-24 19:57
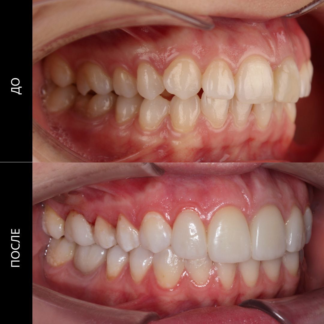
Ортодонтия
Ортопедия
Исправление прикуса брекетами, виниры