Клинические случаи
2026-02-26 13:08
Ортодонтия
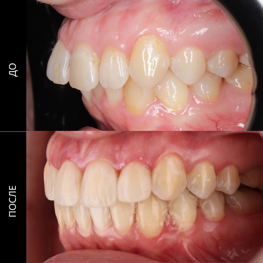
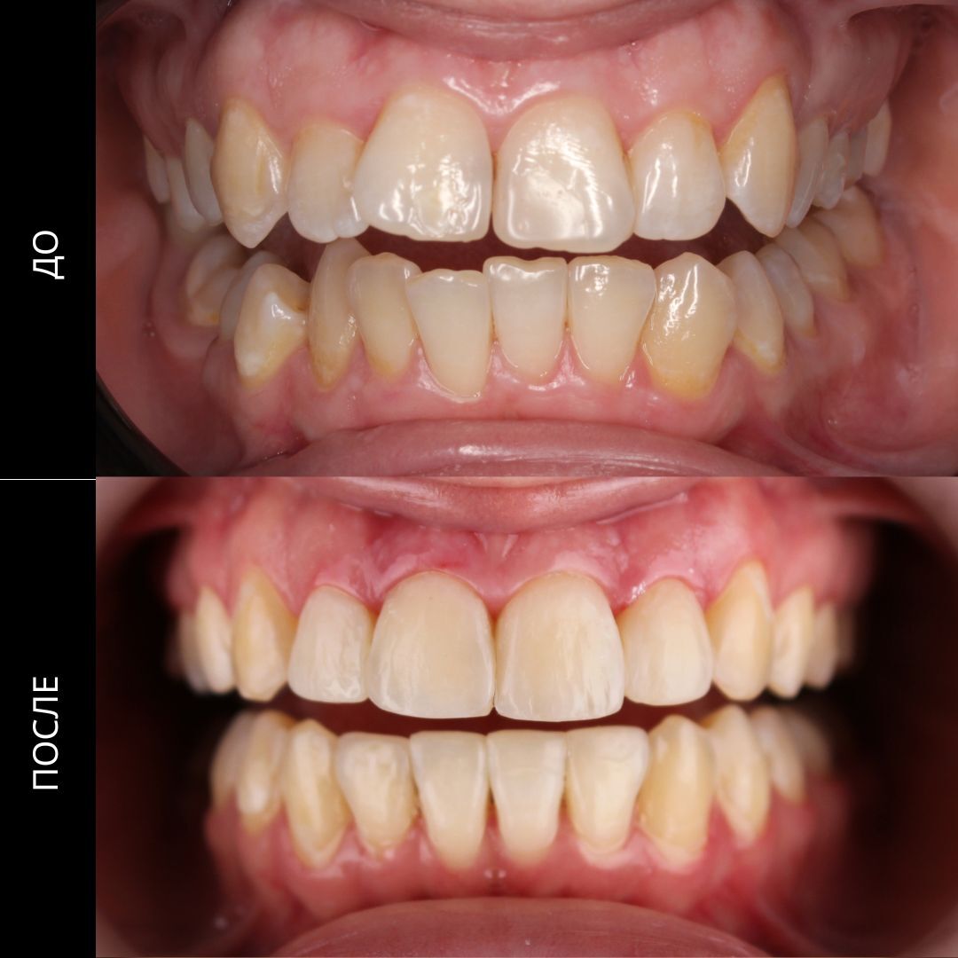
Исправление прикуса брекетами и реставрации