Наш путь к идеальной улыбке:
Этап 1 → Лечение ВНЧС
Устранили боль и дискомфорт, восстановили правильную функцию сустава
Этап 2 → Лечение кариеса
Санировали полость рта, сохранив каждый зуб
Этап 3 → Брекет-система
Ортодонтическое лечение для идеального прикуса
Этап 4 → Имплантация
Восстановили отсутствующий зуб современными имплантами
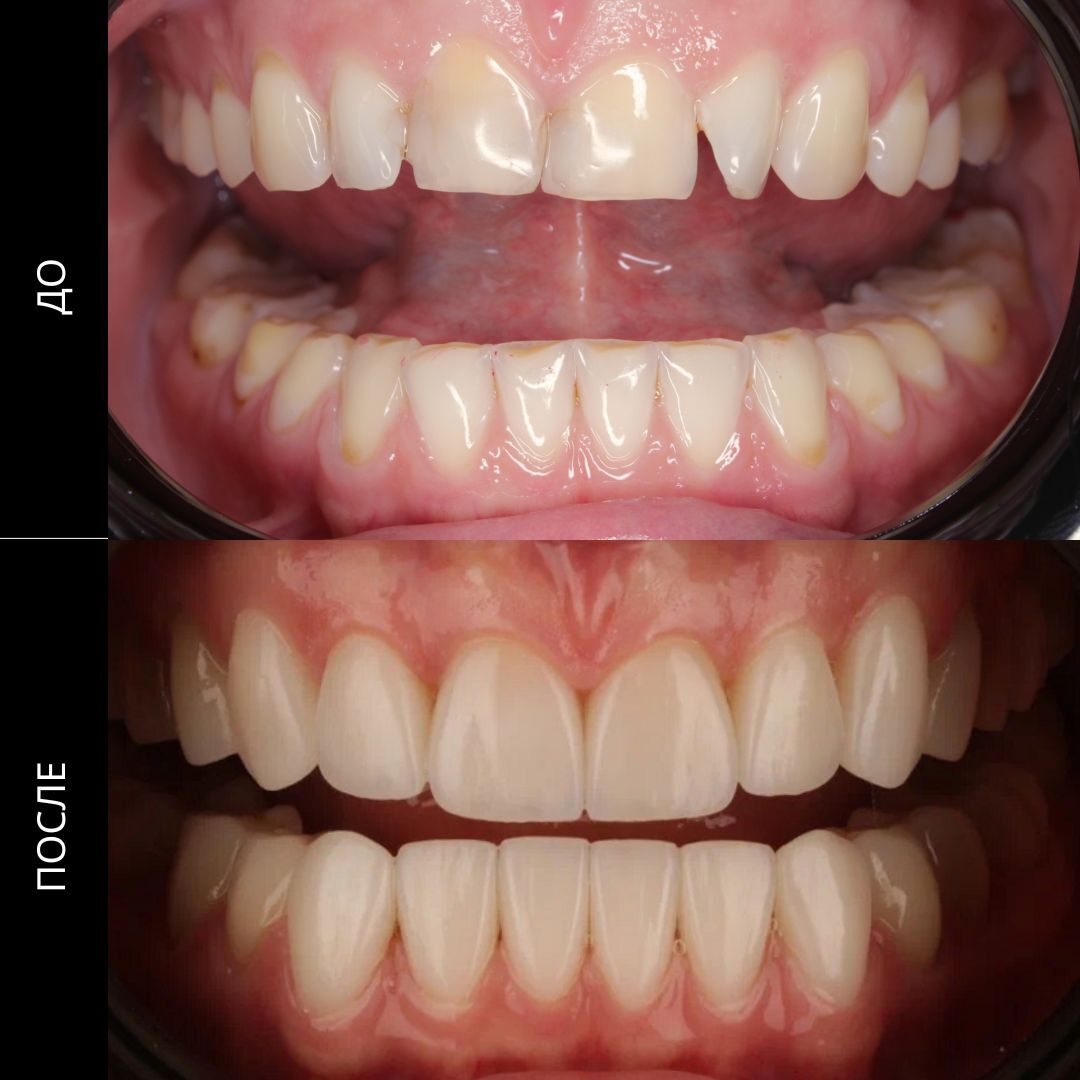
Этап 5 → Виниры
Финальный штрих — керамические виниры для голливудской улыбки
Результат: здоровые зубы, правильный прикус, никакой боли и улыбка мечты!
Врачи:
Тарба Л.И.- ортодонтия
Тарба И.И. - имплантация
Швецов В.Н.- ортопедия (виниры, коронки)
Этап 1 → Лечение ВНЧС
Устранили боль и дискомфорт, восстановили правильную функцию сустава
Этап 2 → Лечение кариеса
Санировали полость рта, сохранив каждый зуб
Этап 3 → Брекет-система
Ортодонтическое лечение для идеального прикуса
Этап 4 → Имплантация
Восстановили отсутствующий зуб современными имплантами
Этап 5 → Виниры
Финальный штрих — керамические виниры для голливудской улыбки
Результат: здоровые зубы, правильный прикус, никакой боли и улыбка мечты!
Врачи:
Тарба Л.И.- ортодонтия
Тарба И.И. - имплантация
Швецов В.Н.- ортопедия (виниры, коронки)