Зуб разрушен под корень? Это НЕ приговор!
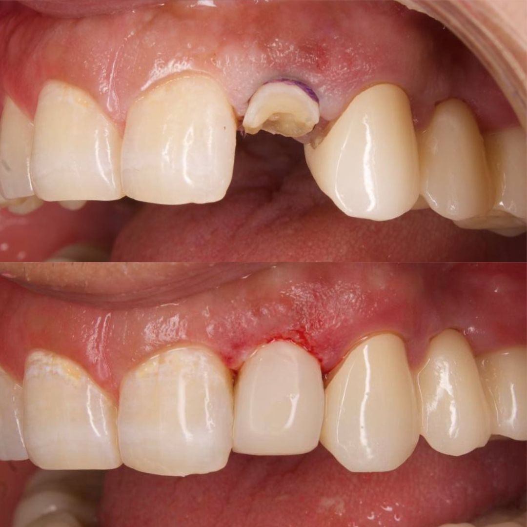
Реальный случай из нашей практики: передний зуб разрушен практически полностью. Многие клиники предложили бы удаление, но мы знаем — даже такой зуб можно спасти!
Как мы это сделали:
Когда от зуба остается только корень, на помощь приходят современные технологии:
Почему стоит бороться за свой зуб?
Важный момент: при такой степени разрушения мы настоятельно рекомендуем после восстановления покрыть зуб керамической коронкой.
Почему коронка обязательна?
- Защищает восстановленный зуб от сколов
- Увеличивает срок службы реставрации в разы
- Обеспечивает максимальную прочность при жевательной нагрузке
- Гарантирует долговременный эстетический результат
Не спешите удалять разрушенные зубы! Приходите на консультацию — мы найдем способ их сохранить.
Реальный случай из нашей практики: передний зуб разрушен практически полностью. Многие клиники предложили бы удаление, но мы знаем — даже такой зуб можно спасти!
Как мы это сделали:
Когда от зуба остается только корень, на помощь приходят современные технологии:
- Стекловолоконный штифт — устанавливается в корневой канал и становится надежной опорой
- Композитная реставрация — воссоздаем анатомическую форму зуба буквально «с нуля»
Почему стоит бороться за свой зуб?
- Сохраняется естественный корень
- Нет необходимости в имплантации
- Быстрое восстановление эстетики
- Зуб снова функционален
Важный момент: при такой степени разрушения мы настоятельно рекомендуем после восстановления покрыть зуб керамической коронкой.
Почему коронка обязательна?
- Защищает восстановленный зуб от сколов
- Увеличивает срок службы реставрации в разы
- Обеспечивает максимальную прочность при жевательной нагрузке
- Гарантирует долговременный эстетический результат
Не спешите удалять разрушенные зубы! Приходите на консультацию — мы найдем способ их сохранить.