От острой боли до спасения зуба
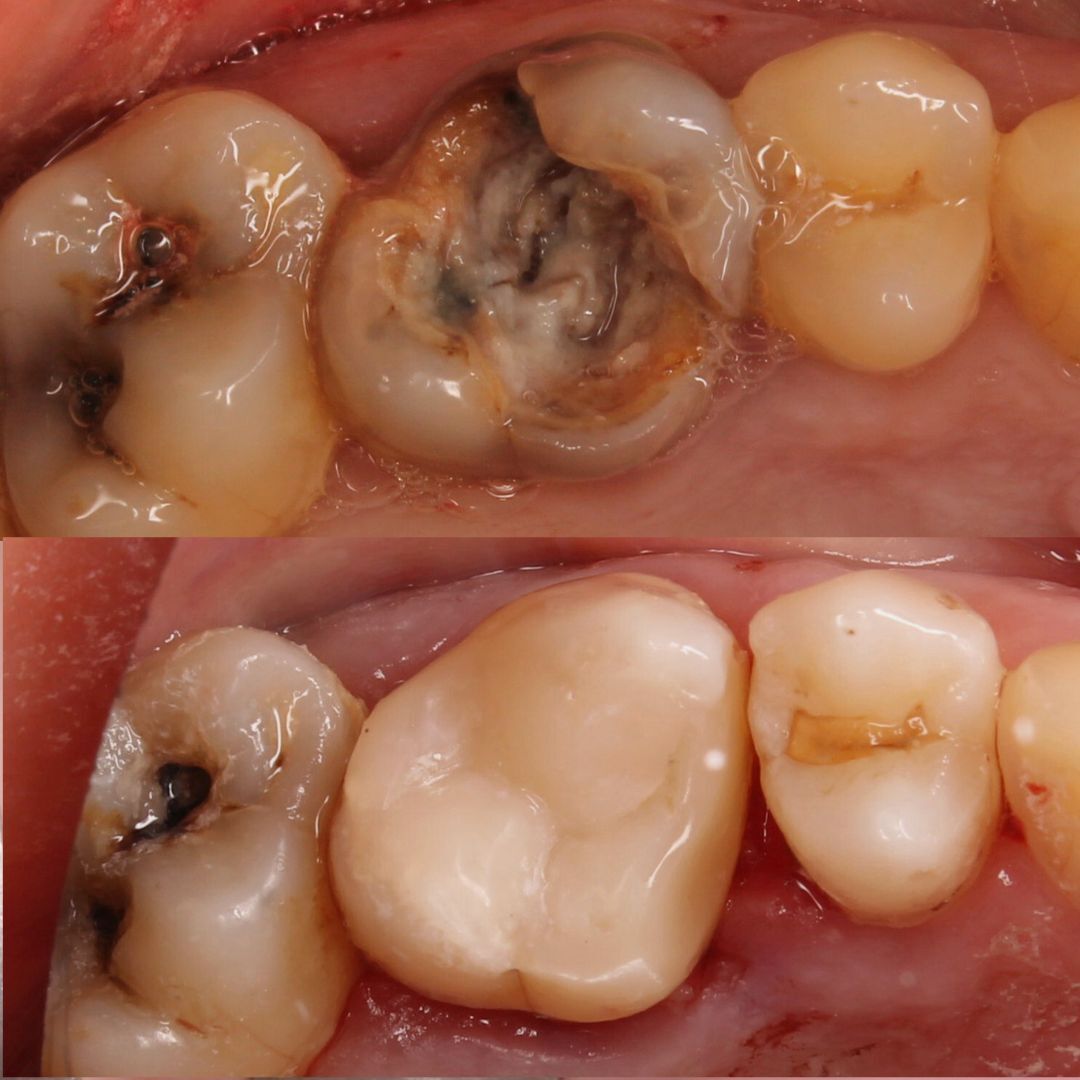
К нам обратилась пациентка с острой болью. Ситуация была непростой: значительное разрушение коронковой части и постоянные ноющие боли.
Что мы сделали:
Совет от нашего доктора:
Лечите кариес вовремя! Не доводите ситуацию до острой боли и сложного лечения. Регулярные профосмотры помогут сохранить здоровье зубов и ваш бюджет.
К нам обратилась пациентка с острой болью. Ситуация была непростой: значительное разрушение коронковой части и постоянные ноющие боли.
Что мы сделали:
- Провели качественное эндодонтическое лечение
- Обнаружили и запломбировали 4 канала (включая дополнительный MB2)
- Восстановили зуб композитом под коронку
- Спасли зуб от удаления!
Совет от нашего доктора:
Лечите кариес вовремя! Не доводите ситуацию до острой боли и сложного лечения. Регулярные профосмотры помогут сохранить здоровье зубов и ваш бюджет.