К нам обратился 18-летний молодой человек с острым воспалением — флюсом на нижней челюсти.
Что мы сделали:
Хирург сделал небольшой разрез, чтобы вышел гной, установил дренаж и назначил антибиотики.
Провели тщательную чистку всех каналов, удалили инфицированные ткани и заполнили каналы лечебным материалом. Через 2 месяца наблюдений зуб полностью запломбировали и восстановили под коронку.
Результат:
Если заметили отёк, припухлость щеки или острую боль — не откладывайте визит к врачу!
Что мы сделали:
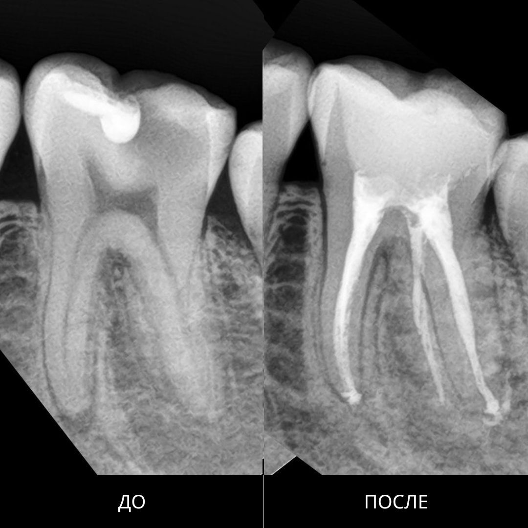
- Этап 1 — Снимаем острое воспаление
Хирург сделал небольшой разрез, чтобы вышел гной, установил дренаж и назначил антибиотики.
- Этап 2 — Спасаем зуб
Провели тщательную чистку всех каналов, удалили инфицированные ткани и заполнили каналы лечебным материалом. Через 2 месяца наблюдений зуб полностью запломбировали и восстановили под коронку.
Результат:
- Зуб сохранён
- Воспаление полностью устранено
- Молодой человек избежал протезирования
Если заметили отёк, припухлость щеки или острую боль — не откладывайте визит к врачу!